
医脉通知识银行
医脉通知识银行是面向医生群体推出的一款知识付费产品。知识银行联手知名专家打造医学精品课程,鲜活的临床病例加上在线的图文、视频以及试题互动,更有专家答疑解惑,您可通过此公众号进行订阅学习。
笔者:462医院 Skyrising副主任医师
来源:医脉通知识银行《影像病例:从入门到精通》病例集
简要病史
病史:患者,女,62岁,因“四肢肢端发麻2年,饮水呛咳2个月”入院。
病例回顾
影像资料

如果是你,会如何鉴别分析?下什么样的诊断?
影像表现

图9
图9为所示病例同层面轴位正常T2WI图片,双侧小脑半球对称(白色箭头)、桥脑(黄色箭头)、小脑中脚(蓝色箭头)、第四脑室(棕色箭头)。后颅窝主要由枕骨和颞骨岩部后面共同组成,其内主要包含小脑半球、脑干、前庭神经等。
双侧小脑半球对称存在,与桥脑通过三对小脑脚相连(本图可见小脑中脚),前庭神经通过内听道走行,桥脑前侧为桥前池及双侧桥小脑角池,桥脑后侧、双侧小脑中脚、双侧小脑半球、小脑蚓部共同围绕第四脑室。

2-FLAIR

6-T1ensag
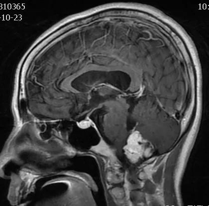
FLAIR图及T1矢状位增强:白色箭头所示小脑延髓池内可见实性占位病变,形态不规则,呈分叶状,病变边界清晰,边缘见血管流空信号影如蓝色箭头所示。
影像描述:小脑延髓池内见不规则异常信号影,呈等及稍长T1长T2信号,内部信号不均,边缘见稍粗大流空信号血管影,FLAIR病灶中心少许片状低信号,增强呈明显强化,DWI不均低信号,ADC不均高信号。小脑半球、延髓、第四脑室受压变形。临近延髓受压变窄,呈长T1长T2信号。
影像诊断:后颅窝实性占位病变,考虑实性血管母细胞瘤。
答案揭晓
1.年龄:本例为老年女性,首先考虑血管母细胞瘤、室管膜瘤;毛细胞星形细胞瘤及脉络丛乳头状瘤多儿童及年轻人。
2.部位:病灶位于小脑延髓池内,实性血管母细胞瘤、脉络丛乳头状瘤、室管膜瘤均可。毛细胞星形细胞瘤多位于小脑半球。
3.形态:病灶呈实性占位,边缘见小血管流空信号影,毛细胞星形细胞瘤多为囊实混合性占位,可有附壁结节,本例概率减低。脉络丛乳头状瘤呈菜花状,可有脑积水,本例无此征象概率减低。室管膜瘤多位于室管膜下,可有分叶,呈塑形性生长,因坏死囊变多见,信号不均,无血管流空信号影,概率减低。实性血管母细胞瘤表现为实性肿物,边界清晰,可有分叶,以边缘血管流空型号影为典型表现,本例符合。
4.增强:病灶整体明显均匀强化,其内见小片状无强化区。毛细胞星形细胞瘤增强实性部分及附壁结节明显强化,囊性包膜轻度强化,本例不符;室管膜瘤中等以上强化,概率减低;脉络丛乳头状瘤、实性血管母细胞瘤明显强化。
· 结合辅助检查结果
老年女性后颅窝实性占位病变,边界清晰,信号均匀,增强明显强化,以边缘血管流空信号影为主要特点,结合年龄、部位、形态、增强信号特点。
综上,考虑实性血管母细胞瘤。
知识点巩固
血管母细胞瘤
临床表现
·又名血管网状细胞瘤、成血管细胞瘤或毛细血管性血管网状细胞瘤。WHO I级。以30-65岁多见,多发为VHL综合征多见。
· 小脑半球多见,其次为小脑蚓部。脑干及大脑半球少见。
病理表现
·由网状毛细血管样管腔构成,其内间质细胞即为瘤细胞,可有囊变出血。
免疫组化
· NSE、GFAP及S-100阳性。
影像特点
·肿瘤多类圆形,60%囊实混合性,大囊小结节,增强囊性部分无强化,囊壁若为肿瘤细胞可有环形强化,40%实性,周围可有水肿,增强明显强化,肿瘤周围及内可见血管流空信号影为典型特征。DWI为低信号。
鉴别诊断
➤ 毛细胞星形细胞瘤
小儿最常见的胶质瘤,WHO I级,最常见于小脑,发病年龄多于出生后至20岁前,以0-9岁为高峰。常见症状为躯干共济失调、头痛、恶心、呕吐等就诊。多为边界清晰、囊实混合以囊性为主占位病变,周围很少见水肿和钙化,壁结节可较大,多朝向软脑膜方向,实性部分及壁结节呈稍长T1稍长T2信号,DWI弥散不受限,增强明显不均匀强化,囊性包膜可见轻度环形强化。
➤ 脉络丛乳头状瘤
脉络丛乳头状瘤幕下于侧脑室、桥小脑角区多见,多呈分叶状,血供丰富,可见供血血管,增强明显强化,因多囊变、钙化内部信号不均,脑积水多见。
➤ 室管膜瘤
室管膜瘤于幕下多见于第四脑室内儿童及青年人,肿物边界清楚,可有分叶,因多坏死、囊变、出血及钙化,信号明显不均,增强呈轻中度强化,且有塑形性生长特点。
病例小结
本例主要讲述后颅窝实性占位的鉴别分析方法,重点讲解了实性血管母细胞瘤的临床表现、病理特征及影像特点,为临床工作提供了影像诊断及鉴别诊断方法。

《影像病例:从入门到精通》病例集以丰富的临床实例,结合大量的影像读片,一起通过分析常见疾病的组织结构的基础解剖、影像对照、线图讲解、诊断标准、鉴别诊断等几个步骤,逐步引导大家展开讨论学习,以期建立明确典型疾病的诊断及鉴别诊断标准的诊断方法思路。
该病例集将分为神经、头颈、心胸、腹盆、骨肌、血管系统等系统模块,全面覆盖典型病例,分批介绍DR、CT、MRI的影像诊断标准、鉴别诊断的要点,帮助医生们建立全面的影像诊断思维基础。
↓↓↓ 识别下方二维码,学习100例影像病例

点击“阅读原文”,100例影像病例全在这里,总有你想看的