最近中国很多地方出现了严重的雾霾天气,雾霾天气空气含氧量降低,会使心室跳动加速,使人胸闷、气短。雾霾的组成十分复杂,大小有数百种颗粒物,这些颗粒物通过人体呼吸,进入呼吸道,会引发气管炎、哮喘等呼吸道疾病。

就拿急性气管炎来说吧,它起病较急,刚开始会干咳并且有少量黏痰,随后痰量慢慢增多,加剧咳嗽,严重时会痰中带血,两到三周都不好,如果一直不好,就转为慢性支气管炎了。如果气管阻塞,就会出现胸闷气短症状。
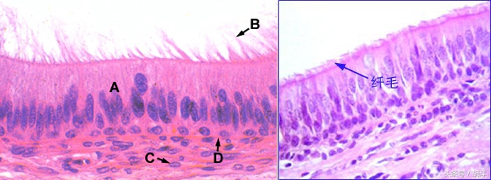
咳痰就是这样来的

A、C、D是细胞,B是纤毛,他们不生产痰液,他们只是痰液的搬运工
咽喉的下面是气管,气管、支气管内部的黏膜容易引发炎症,粘膜像是吊顶,上面吊着高矮不同的柱状细胞,细胞上有纤毛,所有的纤毛向咽喉的方向摇动,把细胞分泌出来的痰液推到咽喉咳出,吸进来的粉尘,细菌,发炎时候的浓痰就是这样来的。
气管支气炎原理

气管镜下看到气管壁相对于平时明显肥了,上面黑箭头指的是痰液
鼻炎 和气管支气管发炎类似,不断的分泌出粘液浓痰,鼻炎的时候会鼻塞,支气管炎时,各种细胞水肿,增生,死亡,脱落,细胞间还夹杂着来执行杀菌任务的白细胞,气管表面的纤毛脱落、倒伏不动,所以会有痰挂在气管壁上咳不出,难受。
治疗
(一)咳痰
海蜇、海蜇皮(漂净)、鲜荸荠、桑树皮、 甘草、竹叶 煎水服用,兼治淋巴结核。此方奇效,沈阳有位七十多岁的老太太近日用了我的此方,仅一付就治好了久咳病。
(二)气管炎
百部汤: 百部,生姜,细辛,贝母,甘草(炙),杏仁(去皮尖双仁者),紫菀,桂心,白术,麻黄(去节),五倍子。煎水服,治疗气管炎有奇效。
忌桃、李、雀肉、海藻、菘菜、生菜。

每个人的体质与病症不同,适用的方子也会有所调整,请在专业指导下进行,以免适得其反。
关注雾霾,关注健康,如果你正千方百计想要逃离雾霾危害却又无能为力,可以来找我帮忙。另外,笔者长期蹲守在文末,跟帖问问题,能马上得到回复。