在孕7周的时候因为内分泌流了点粉色的东西,加上肚子偶尔有点疼,不放心就去医院检查。B超照到显示有一胎囊,心管脉动等一切都正常,给我打了三天的黄体酮,后来一切正常。
-
附上当时孕7周的B超单

孕7周B超单
孕12周+3天,就是昨天去医院建卡和第一次产捡,照B超的是一个男医生,他说“你怀的是双胞胎“。我:不可能,我孕7周的时候说只有一个呢。而且我家和我老公家都没有双胞胎的遗传史。
接着让身边的老公赶紧把上次的B超单子拿给医生看(孕7周在另一家医院),医生接过单子看了一下说:或许孕7周的时候还小看不出来。
”阿?那麻烦医生您再仔细帮我看下,是否真的是双胞胎,”
然后医生再认真的检查着。”是的,你真的怀的是双胞胎,而且两个发育正常都有胎心"。医生还让老会看屏幕,老公清晰的看到两个宝宝的头。医生说”你看还有胎动呢。看到了没?十分确定是双胞胎“。
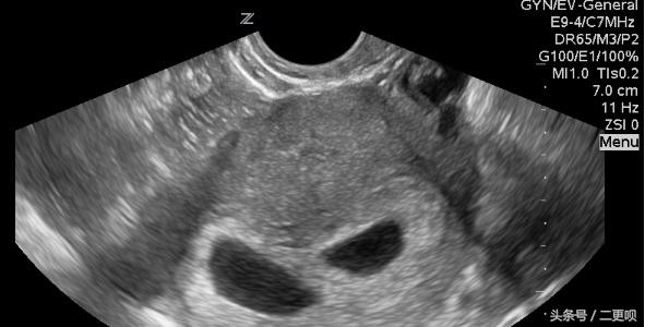
附上孕12周+3B超时的照片

孕12周B超图
我当时真是惊喜又担心阿。还好报告出来一切都是正常的,告诉家人,都太惊喜了,真是太意外了!
下面和准妈咪说说我怀双胞胎早孕症状:
其实我个人觉得和一般的怀一个的没有多大的区别,也会有头晕、乏力、嗜睡、畏寒、食欲不振,唯一不同的是就这些症状比怀单胞胎的更严重些吧。(拿闺蜜怀一胎的时候作参考对比的)还有一点就是特别特别能吃啊。
不管怎么样拉,希望两宝宝健康长大,平平安安出生。也祝准妈咪好孕,愿你所愿!
