说到烤瓷牙,小编想到刘涛的那全口 「美容牙」,为了美 把自身牙齿「磨小」,做个「烤瓷冠」套在上面,她也因 「美容牙」受尽了折磨,甚至在微博上声泪俱下后悔不该去做美容牙。
当然,我们身边也有很多这样的例子,因为做烤瓷牙不得不「磨牙」,这一环节让很多人感到「害怕」甚至「后悔」。

为什么要磨小牙齿?
磨牙是做「烤瓷牙」非常重要的一道程序,也是很多医生所不愿意的,但毕竟这种「修复方式」仍然是目前从「力学」角度讲最为理想的,是可以90%恢复「咀嚼功能」的方式。
1)为了良好的「固位型」和「抗力型」,保证烤瓷牙的效果和美观。
2)保证牙齿的「修复空间」足够,是保证修复体「强度」、「厚度」和「美观」的一个必不可少的步骤。
当然,磨去多少、如何计算牙齿的「受力」等,非一个缺乏经验的医生所能「胜任」。如果磨牙做不好,即使选择再好的烤瓷牙材料也是「失败」的。

磨牙会伤害牙齿吗?
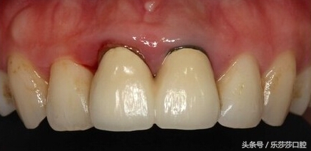
做烤瓷牙一般需要将「牙齿表面」均匀磨掉约1.5-2mm,这个磨除的程度主要是磨去凹凸不平,已经伤痕累累的「牙釉质」,所以是不会伤害到牙本质。然后再在上面给牙齿「穿上」坚固的「防弹衣」,让它避免受到外界「细菌」的侵害,这样不仅能恢复「牙齿美观」,也不影响原有的「咀嚼功能」。
但是,在磨牙过程中,牙科「器械」与「口腔组织」亲密接触,所以对医生技术、医院资质有很高的要求。如果是一些不具备「医疗资质」的机构,「技术经验」不足的来磨牙可能会导致一些问题。很常见的就是磨牙伤害到 「牙龈组织」甚至 「牙髓」,还有因为 「操作不当」 易使烤瓷牙与原牙 「不密合」 ,烤瓷牙 「边缘」 刺激牙龈使 「牙龈肿痛」 ,易得 「牙周病」 伤害牙齿。
做烤瓷牙真的是条不归路?
其实,小编觉得要「客观」看待烤瓷牙,用「烤瓷牙」纠正个别牙齿外形也不是绝对的错误,毕竟能在短时间内恢复「牙齿美观」和「功能」,但是磨小的牙齿是不可逆的,而且,一般10-15年左右可能需要换一个(更换时大多数情况还会再修整下牙齿),这费用也就高了。

小编个人建议能矫正就做矫正,因为通过矫正可以达到最好的状态,毕竟没有「损伤」自己的牙齿(磨小),但是矫正的时间不可避免比「烤瓷牙」要长,一般在1-2年,有的甚至更长,价格相对来说也稍高,不过「整口」牙齿都得到了改善算下来还是很划算了。
PS:最后,大家还是要「看腰包,看病情」,看看自己最在乎的是什么。另外,一定要找个靠谱的医生!
牙齿矫正、牙齿种植、牙齿修复、牙齿美白等口腔知识尽在微信:乐莎莎/lesasa-com。