“我家宝宝牙齿最开始坏的时候,我们也没在意,想着宝宝换牙后再好好护理也不迟。现在宝宝牙疼的不能行,牙齿都断了!去看医院,人家医生说我们这叫奶瓶龋,要等宝宝换牙后全麻补牙治疗。为啥情况这么严重?”
在生活中我们家长经常有这样的疑问,这种现象大都是因“奶瓶性龋齿”所致。什么原因导致了“奶瓶龋”?妈妈该如何帮助宝宝有效预防“奶瓶龋”呢?

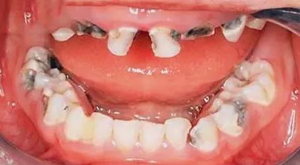
什么叫奶瓶龋?
有数据显示,从出生到五岁前,宝宝致龋率高达70%,其中97%的龋齿未经治疗。“奶瓶龋”指的是儿童早期龋齿,常见于长期使用奶瓶的宝宝身上,其特征为龋齿主要发生于上颌的门牙和第一乳磨牙。当家长发现宝宝门牙出现环状黄色斑块、牙齿变形且缺损,那宝宝就可能患上了奶瓶龋。
奶瓶龋要不要紧?
专家认为:80%的儿童蛀牙都要处理。但有些家长认为,孩子反正以后要换牙,乳牙蛀了没关系,这绝对是误解。家长在宝宝出现奶瓶龋初期时,没有做到及时干预治疗,还会造成宝宝邻近牙齿的大面积腐坏,咀嚼能力减弱,牙冠折断仅剩下被腐蚀后的牙根,特别严重时需要拔牙处理。
所以,家长一定要认识到奶瓶龋的严重性,那么如何预防,才是家长需要学习的关键点。

奶瓶龋的原因以及解决方法
口腔清洁不到位
许多妈妈都忽视了口腔清洁的重要性,很多宝宝吃完奶后就睡了,家长为不吵醒宝宝,就没有养成喂奶后帮宝宝清洁口腔的习惯,进而导致细菌繁衍、残留的奶渍停留口腔,增加宝宝患龋齿的几率。
妈妈怎么做:
乳牙未萌出的小宝宝,家长们应该在哺乳后或睡觉前用干净的纱布蘸清水或含有儿童护牙剂的水为宝宝擦洗牙床和舌苔,乳牙萌出后,家长们就可以选用指套牙刷为宝宝清洁口腔。
在孩子2岁时,家长们就可以教孩子自己刷牙,有条件的还可以用专业的儿童护牙剂进行护牙。

含着奶瓶入睡
宝宝吮吸奶嘴时,牛奶容易直接附着在牙齿表面,而且入睡后唾液分泌少,吞咽能力大幅度下降,导致牙齿长时间浸泡在余奶中,便会造成宝宝患上奶瓶龋。
妈妈怎么做:
喂奶时采用坐立式的姿势,时间尽量控制在15分钟左右,宝宝入睡后应及时将奶瓶或母乳拿走。最好在宝宝入睡前喂点温开水清洁口腔。

吃夜奶时间长
长期吃夜奶,尤其是当宝宝长乳牙了,还在吃夜奶的话,很容易引起龋齿。不利于宝宝牙齿和口腔的健康。吃夜奶并不仅仅是宝宝自己养成的习惯,也是妈妈们一度迁就的结果。夜里,宝宝一哭闹,妈妈就会心软,不自觉就给宝宝喂奶了,这样时间长了,宝宝也知道只要一哭就有奶喝,逐渐的就养成喝夜奶的习惯了。
解决办法:
在宝宝睡前一个小时喂辅食(4~6个的宝宝),宝宝睡眠过程无饥饿感自然可延长睡眠时间。或者逐步延长睡前和夜奶之间的时间,以达到断夜奶的目的。例如:23点喂一次奶,夜奶时间推迟至凌晨3点。之后白天提前半个小时,或夜奶推迟半个小时,逐步拉长白天和夜间喂奶的时间。

过早食用甜食
小孩子喜欢吃甜食,还经常在睡觉前吃东西,家长出于爱护的心理没有加以阻止或引导,又没有养成为孩子清理口腔的习惯,又或者清理不彻底,长时间如此会造成宝宝牙齿脱钙,为奶瓶龋创造了可趁之机,而且还会造成宝宝偏食的习惯。
解决办法:
不要给宝宝频繁喂食含糖类饮料、糖果、饼干食物,偶尔食用后需要仔细清洁牙齿,因为食物残渣停留在牙缝中很难清理,特别是甜食非常容易造成宝宝患上龋齿。
最后小博提醒您:牙齿关系着孩子的一生,在西方,人们甚至以是否拥有一口好牙作为评判一个人有没有教养的标准。因此,各位家长要防患于未然,不要截至宝宝患上奶瓶龋后才去护理牙齿,那时候乳牙就彻底毁了。宝宝一旦患上奶瓶龋一定要积极治疗,以免影响今后恒牙的健康生长。
以上就是小博总结的,若有其他问题请在评论区给我留言,我会一一回复您,记得要点赞哦~