点击「神经介入在线」可快速关注

笔者 | 夏文卿、殷聪国
单位 | 杭州市第一人民医院
背景知识
大脑前动脉解剖及生理
• 供血区域:
– 皮层支:大脑半球内侧面前3/4、额顶叶背侧面上1/4皮质及皮质下白质。
– 深穿支:内囊前肢、尾状核、豆状核前部及下丘脑。
• 大脑前动脉梗死常见临床症状远段闭塞:
– 对侧偏瘫,下肢较重。
– 轻度感觉障碍。
– 主侧病变Broca失语,可伴有尿*禁失**(旁中央小叶)等。
– 深穿支闭塞:对侧面舌瘫,上肢轻瘫(内囊膝部及部分内囊前肢)。
– 双侧大脑前闭塞:精神症状,双下肢瘫,尿*禁失**等 。
大脑前动脉取栓重要性
• 大脑前动脉在二级侧支中发挥重要作用。
• 考虑到脑梗死人群特点,下肢对于老年人尤为重要。
• 临床开通实践过程中,应充分考虑临床症状及代偿关系,高度重视大脑前动脉。
大脑前动脉取栓可行性

Solitaire FR在血管中卷曲圈数
• 4mm支架周长~17mm:4mm的Solitaire FR在直径为X的血管中重叠 5/X圈。

• 6mm支架周长~22mm:6mm的SolitaireFR在直径为X的血管中重叠 7/X圈。

指南推荐
2015 AHA/ASA及国内指南

病例资料
患者,男性,71岁,因“发现意识不清伴四肢活动不利3小时余”收住入院。
既往有“高血压、脑梗死、冠心病、结肠息肉、消化道出血、胃大部分切除术、PCI术”病史。
患者9:30发病,10:21至我院急诊就诊。
体格检查:嗜睡,言语不清,双侧瞳孔0.25cm,对光反射存在,右侧鼻唇沟变浅,伸舌右偏,右上肢肌力3级,右下肢肌力2级,左上肢肌力5级,左下肢肌力3级,双侧痛觉减退,双侧巴氏征(+),NIHSS评分11分,心律齐,未闻及病理性杂音。
辅助检查:血常规、生化、凝血功能未见明显异常,心电图:窦性心律,ST-T改变;头颅CT平扫:未见明显出血。头颅MRI:未见新鲜梗塞灶;头颅MRA:双侧大脑前动脉远端缺如。
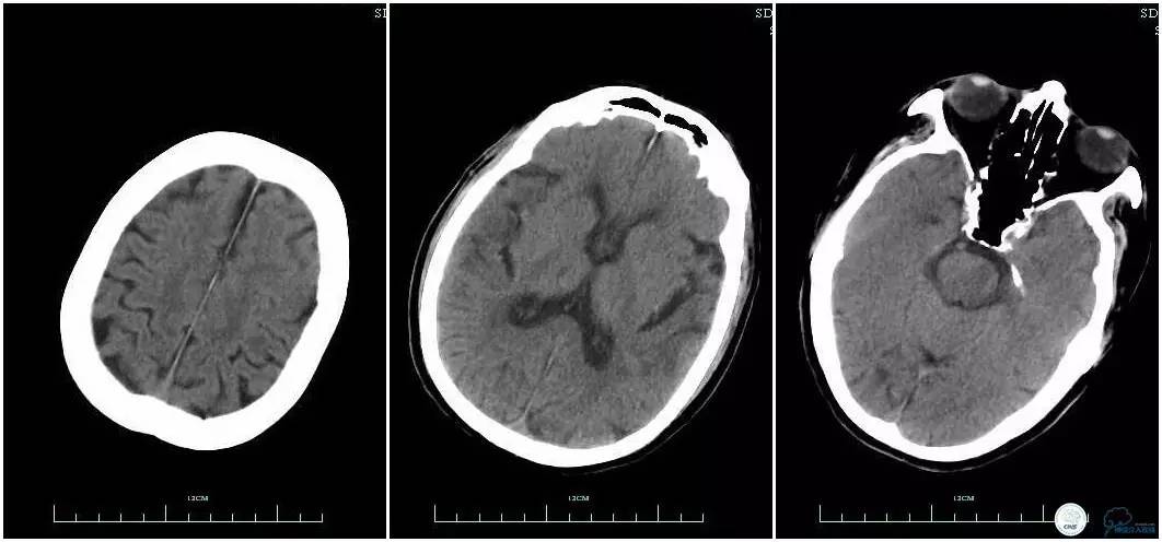
术前头颅CT平扫。

术前头颅MRI。

术前头颅MRA。

临床诊断及治疗计划
临床诊断
1. 脑梗死(定位双侧前循环,定性栓塞)
2. 原发性高血压3级(极高危)
3. 冠状动脉粥样硬化性心室病PCI术后
4. 胃大部切除术后
5. 结肠息肉
治疗计划
患者家属考虑既往多次有消化道出血病史拒绝静脉溶栓,充分告知下行血管内介入干预。麻醉方式:局麻+静脉镇静。
手术过程(DSA)
12:35穿刺成功,TOT 185min。3型主动脉弓,右侧颈内动脉起始部狭窄70%,右侧大脑前动脉A1段未显影。

双侧大脑前动脉A4段闭塞,右侧大脑前动脉由左侧大脑前动脉经前交通动脉代偿供血。

6F Envoy置于颈内动脉C3段,选用Solitaire-FR 4*20mm支架释放于右侧大脑前动脉,完全覆盖血栓。

6F Envoy置于左侧颈内动脉C3段,选用Solitaire-FR 4*20mm支架释放于右侧大脑前动脉取栓1次,血流达TICI 2b。

Solitaire-FR 4*20mm支架释放于左侧大脑前动脉取栓1次,取出少许血栓重复造影左侧大脑前动脉胼周动脉开口后,右侧大脑前动脉A2段以远未显影,考虑栓子逃逸。

选用Solitaire-FR 4*20mm支架分别于右侧大脑前动脉A2-A3段,左侧胼周动脉,右侧胼周动脉取栓3次。

双侧大脑前动脉完全显影,TICI 3级,TOR 261min。

术后情况
术后头颅CT复查。

术后复查头颅CTA。

术后复查头颅MRI。
术后转归
术后第二天患者意识清,言语清,右上肢肌力1级,右下肢肌力3级,左上肢肌力5级,左下肢3级。
术后90天随访右上肢肌力3级,左上肢肌力5级,双下肢肌力4级,mRS评分3分。
体会
1.部分患者大脑前动脉存在解剖变异,一侧颈内动脉供应双侧大脑前动脉,这类患者如出现栓塞,临床表现需与后循环梗死相鉴别,提高警惕。
2. 该患者取栓时应器械供应原因未使用Navien中间导管,如能将Navien中间导管置于颈内动脉末端配合Solumbra抽吸技术可减少血栓逃逸概率,缩短取栓时间,减少取栓次数。
3.该患者治疗过程中存在一定不足,患者右侧肢体偏瘫症状明显,取栓过程中因血管扭曲未能优先处理左侧大脑前动脉。虽然术后血流完全再通,但复查头颅MRI左侧大脑前供血区域仍有大片梗死,右侧上肢肌力恢复不理想。
问题
1. 此病例右上肢恢复较差,可能与时间延误有关,因此取栓的顺序上有改进的空间,是否该先考虑左侧?
2. 大脑前动脉主干闭塞血管内治疗应予以重视。
——探索适合的病例
——探索合适的更多的方法