
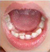
孩子已经五六岁,正式到了换牙期,眼看恒牙就要长出来了,但是乳牙却耍赖不肯让位,这让妈妈们急坏了,难道孩子要变成双排牙的小怪物吗?

其实,像是这种乳牙还没掉落,恒牙就迫不及待地长了出来,这种情况就叫“乳牙停留”。“乳牙停留”极其容易导致恒牙错位,最终使得孩子的牙齿歪七扭八。
那么乳牙停留该怎么办呢?
看完本文你将得到:
1、为什么会产生“乳牙停留”?
2、“乳牙停留”后该怎么办?
3、如何避免“乳牙停留”?
4、“乳牙停留”的误区。
5、儿童换牙期家长应该注意的问题。
【接下来就让小编一一为你进行揭秘吧~】
一、为什么会产生“乳牙停留”?

绝大部分原因与现在的饮食越来越精细有关,孩子的牙齿缺少锻炼的机会,因为长时间没有对牙齿进行生理性刺激,自然会阻碍了牙齿的正常生长发育。
另外一个原因就是先天性缺失恒牙,导致乳牙不能脱落,这种情况下,如果其他恒牙生长正常,就要保护好孩子的这些乳牙了。
二、乳牙停留”后该怎么办?

乳牙的停留会占据恒牙长出的正常位置可能会导致恒牙长不齐,不正等,影响牙列正常咬合的关系,尤其是停留的乳牙可能让细菌“有缝可钻”,破坏牙齿表面的保护膜,影响口腔健康。
所以,要及时来医院把乳牙拔掉,这样一来,恒牙就能自动回归到正常的位置中去了。
PS:并不是说所有停留的乳牙都需要拔除,只有“碍事”的乳牙才需要通过医学手段来处理具体要交由专业的医师来判断。
三、如何避免“乳牙停留”?

首先是在日常中适当让孩子多吃一点坚果类食物、粗粮和粗纤维食物。
其次:
1.经常检查牙齿
2.减少甜食摄入
3.认真刷牙漱口
4.纠正不良习惯:教育儿童改正咬舌、咬物、吮指、舔牙等不良习惯,避免诱发牙间隙增宽、牙齿倾斜、局部开颌、牙前突等问题。
四、“乳牙停留”的误区。

误区一
蛀坏的乳牙不能拔,否则牙齿会松动的。
事实:俗话说,一个萝卜一个坑,牙齿在牙床内也是如此。如果拔掉其中的一颗牙,对其他牙齿并不会造成影响,所以拔牙是不会引起邻牙松动的。对那些烂得无法治愈的乳牙来说,它们的存在不但会影响牙根下方恒牙牙胚的正常生长,而且还会破坏邻牙牙根周围的牙床骨,影响邻牙的咀嚼功能,进而整个牙床都会遭到破坏,危害极大。
误区二
孩子年龄太小,治牙不能配合,吃点药就算了。
事实:不论年龄大小,牙齿一旦长出,如果不重视口腔卫生,就会发生蛀牙。蛀牙引起的牙痛仅靠吃药是不能彻底解决问题的,只有到医院接受治疗,同时配合吃药,病情才能尽快好转。

五、儿童换牙期家长应该注意的问题。
换牙期间,宝宝可能会遇到一些不适,会出现一些坏习惯,比如用手拽,晃牙齿、老用舌头舔乳牙等等,对于牙齿的咬合关系建立会造成不利的影响。这些坏习惯都需要我们家长细心帮助孩子纠正。
【写在最后:
注意口腔卫生很重要,教孩子养成早晚刷牙漱口的好习惯,让孩子可以从小拥有健康整齐的牙齿,绽放可爱纯真的笑容。】
更多文章请点击关注!