鑲濈値鎬у亣鐦ょ殑鐥呯悊鎻忚堪 (鐥呯悊鍒囩墖闃呯墖澶ц禌)

基本情况

患者,男,32岁,右上腹隐痛伴发热七天。

检查

当地医院B超:肝占位

全消化道造影:升结肠局部狭窄,肠壁僵硬,考虑升结肠癌

结肠镜:未见异常

实验室检查

WBC:10.3×109/L,ESR75mm/h

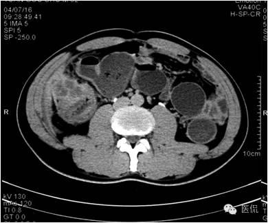
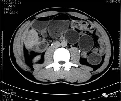
平扫示肝下缘局部隆突,密度减低,内部密度不均,隐约见分隔影,其下缘与升结肠界线消失,肠壁增厚、模糊。

鐥呯悊鍒囩墖闃呯墖澶ц禌,鐥呯悊闃呯墖姣旇禌

鐥呯悊鍒囩墖闃呯墖澶ц禌,鐥呯悊闃呯墖姣旇禌

鐥呯悊鍒囩墖闃呯墖澶ц禌,鐥呯悊闃呯墖姣旇禌

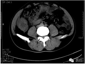
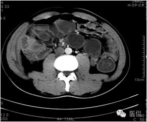
动脉期病灶显示小片状低密度影内,见不规则环状、核心样点状和间隔轻度强化,形态多种。

鐥呯悊鍒囩墖闃呯墖澶ц禌,鐥呯悊闃呯墖姣旇禌

鐥呯悊鍒囩墖闃呯墖澶ц禌,鐥呯悊闃呯墖姣旇禌

鐥呯悊鍒囩墖闃呯墖澶ц禌,鐥呯悊闃呯墖姣旇禌

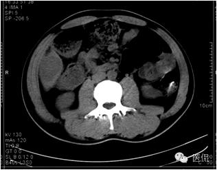
门脉期上述部位持续强化,程度加重,且环壁影增厚,核心样结节、分隔明显。

鐥呯悊鍒囩墖闃呯墖澶ц禌,鐥呯悊闃呯墖姣旇禌

鐥呯悊鍒囩墖闃呯墖澶ц禌,鐥呯悊闃呯墖姣旇禌

鐥呯悊鍒囩墖闃呯墖澶ц禌,鐥呯悊闃呯墖姣旇禌

延迟期密度略有下降,但仍有强化,形态不规则。

鐥呯悊鍒囩墖闃呯墖澶ц禌,鐥呯悊闃呯墖姣旇禌

鐥呯悊鍒囩墖闃呯墖澶ц禌,鐥呯悊闃呯墖姣旇禌

鐥呯悊鍒囩墖闃呯墖澶ц禌,鐥呯悊闃呯墖姣旇禌

手术病理诊断

肝炎性假瘤,侵及周围结肠和腹壁,浸润组织有水肿,粘连。