题记
问:现在很多人都有颈部血管斑块,这个听说很危险,如果颈动脉堵塞,身体哪个部位反应最明显?
答:脑。
问:动脉堵塞怎么办呢?
答:条件允许的情况下可以做介入手术,如果保守治疗,需要坚持服药药物,稳定斑块/抗血小板聚集。。。。
动脉狭窄是发生脑梗塞最主要的原因,也是脑梗塞复发的主要原因。
现在很多研究认为动脉狭窄是脑梗塞主要原因之一。
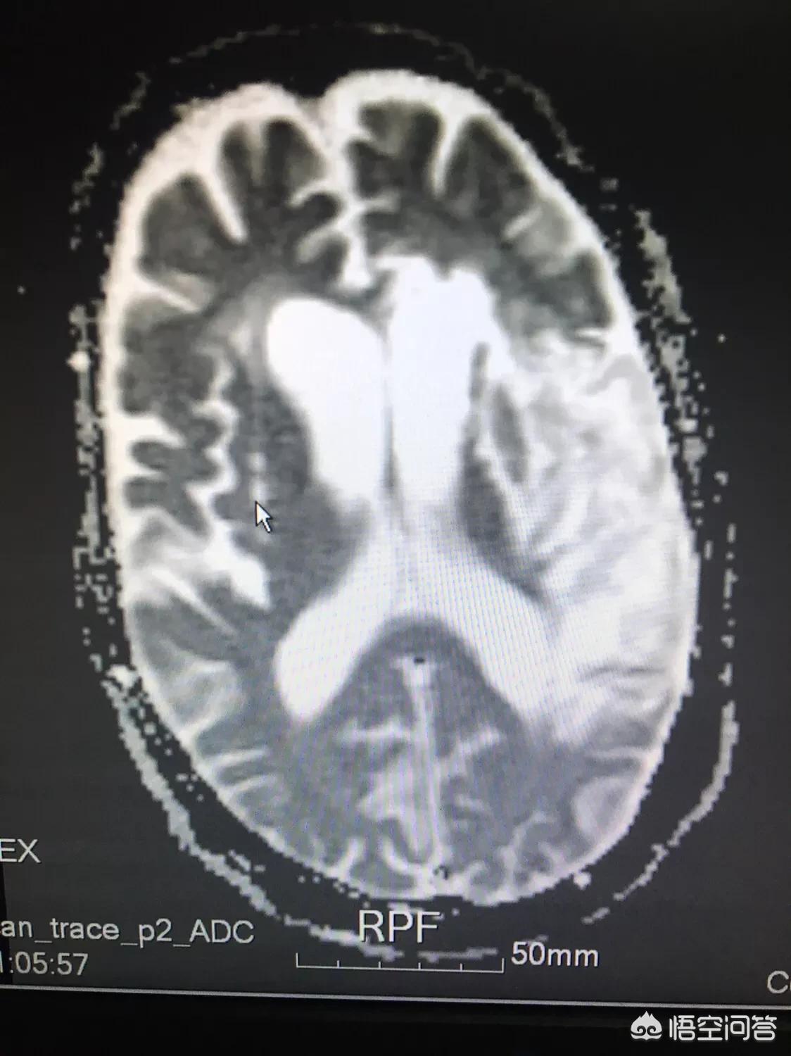
脑梗塞的病人都会查一下颈部血管的情况,如颈部CTA/颈部血管彩超,如果发现有血管狭窄,而刚好又是这根狭窄的血管导致的脑缺血,就说这是责任血管,一方面是寻找原因,同时也有利于评估病人的预后。比如,我有一个病人大面积脑梗塞,一侧颈内动脉狭窄,病人症状很重,病情稳定后来康复,吞咽障碍/言语不利/半身不遂,很多功能都受到影响,而且我们根据病变部位,大概估计恢复不好。
如果是责任血管,一般后面也建议病人处理一下狭窄的问题。偶尔候病人颈部某一跟血管堵塞,但其实并没有引起任何症状的。这是因为大脑供血是由一个wiliis环供血所致的。
很多研究认为,动脉狭窄或闭塞是脑梗塞复发的危险之一。举个不好的例子,有一个老年病人,一侧劲内动脉狭窄,反反复复发脑梗塞,先不会走路,然后不会说话,然后痴呆了。一年发了五次,家里人着急也没有办法,预防的药一直在吃,但是没有什么用。
总结一下,就是有发生脑梗塞的风险,而且多次发脑梗塞的风险高。

顺便说一下,颈部血管状态不好,大部分其他血管也不好,心脑血管疾病,心室问题会伴随脑血管,很多研究报道了,颈部血管硬化和冠状动脉(心室的血管)、下肢动脉也硬化的概率高。
比如我们很多病人,同时有脑梗塞/冠心病,而且会相互影响,比如一个冠心病PCI术后的病人,容易出现心功能下降,而如果脑梗塞导致肢体功能障碍,出现活动不利,活动功能减少,心功能更会下降,这样导致一个恶性循环。
慢性病的科普,说说中风、糖尿病、高血压、高血脂的小知识,健康无小事,知道多一点,健康多一点,欢迎关注爱跑步的小医生。