畸胎瘤是卵巢生殖细胞肿瘤中常见的一种,来源于生殖细胞,分为成熟畸胎瘤(即良性畸胎瘤)和未成熟性畸胎瘤(恶性畸胎瘤)。良性畸胎瘤里含有很多种成分,包括皮肤、毛发、牙齿、骨骼、油脂、神经组织等;恶性畸胎瘤分化欠佳,没有或少有成形的组织,结构不清。早期畸胎瘤多无明显临床症状,大多是体检时偶然发现。

一、颅内畸胎瘤
症状:因为颅内畸胎瘤主要发生在鞍上区和松果体区等中线区域,所以常无明显脑定位体征。多数患者以颅内压增高为首发症状,表现为头痛、恶心、呕吐,眼科检查可见双侧视乳头水肿。位于松果体区的畸胎瘤可出现双眼上视不能、共济失调、性早熟、颅神经麻痹等。鞍区者可出现尿崩症、嗜睡、视力视野障碍以及水、脂肪代谢障碍等。颅后窝者可出现小脑功能损害及颈部僵硬等。桥小脑角者可出现头痛呕吐、复视、共济失调、耳聋、眼颤、颅神经损伤等。
检查:颅内畸胎瘤影像学特征有其显著特点,可以作出初步诊断。
(1)腰穿绝大多数患者腰穿测压均有不同程度的压力增高,脑脊液蛋白含量一般不高。
(2)颅脑X线平片多数显示有颅内压增高征象,如发现有牙齿、小骨块、钙化影像,更有助于定性诊断。

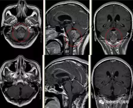
(3)CT扫描CT平扫可见肿物形态不规则,结节状及明显分叶状和密度不均的占位性病变,通常有实性成分(高密度)、囊行(低密度)及钙化和骨化等,多囊者较为常见。全部患者皆可见到脂肪成分,瘤内出血少见。有少数病例可见脑室内油脂状液体随体位变化而游动(为畸胎瘤破溃入脑室所致),畸胎瘤与恶性畸胎瘤在平扫CT很难区别,但后者囊变成分、钙化和脂肪相对较少,实质部分较多。畸胎瘤良性者常已生长多年,肿物发现时通常较大,在松果体区者几乎皆有不同程度的幕上脑室扩大。注药后实性部分明显强化,密度极不均匀,囊壁强化可呈多个环状影。
(4)MRI检查T1及T2像出现的信号极为混杂,但边界较清楚,呈结节状或分叶状,良性畸胎瘤边界无水肿(T2像显示清楚的高信号),如有周边水肿,提示肿瘤为恶变成分或恶性畸胎瘤,肿瘤在注药后瘤壁和实质部分明显强化。
(5)肿瘤标志物CEA可轻度或中度升高。未成熟畸胎瘤和含有该成分的混合型GCT患者AFP明显升高。
治疗方法:良性畸胎瘤只做手术切除,但须强调病理标本的立体多点取材,以免漏诊恶性成分。如能全切可望治愈。因为肿瘤常位于中线部位,手术多难以全切,不能全切者可酌情行脑脊液分流术以缓解梗阻性脑积水。放疗与化疗对良性畸胎瘤无效。未成熟和恶性畸胎瘤则先化疗后放疗,复查如肿瘤未消失再行手术切除,术后继续化疗2疗程。
二、胃畸胎瘤
症状:临床主要表现为腹部包块,多位于左上腹,腹胀,呕吐,呕血和(或)黑便,呼吸困难,贫血。在新生儿或婴儿中,上腹包块及上消化道出血(以间歇性黑便多见)为主要临床表现。

检查:(1)X线检查①腹部平片在中上腹或全腹可见密度不均的增高阴影。边界可不清,并将肠管挤向右前下方。包块阴影内可见条状骨样或点状沙粒样钙化影。②钡餐透视显示胃体受压变形,小肠向下方移位;胃内可见充盈缺损,亦可扩张,出现气液平面和大量积液;或胃内造影剂沿着肿块分布,还可聚集于肿物的小叶间。③钡剂灌肠可见横结肠,降结肠及乙状结肠受压向下移位,上腹部显示巨大密影。④肾盂静脉造影显示左肾盂向下移位,膀胱上缘可能出现压迹。
(2)B超检查呈现各种声相图,于左上腹横扫可见肿物位于脾肾之间,边界可清晰显示,或不清。肿物可呈多房性分叶状,其内部声相可呈实性,多发性囊性,或混合性,还可能有钙化灶显示。
(3)CT检查如果病变巨大,甚至占据腹腔的4/5,则多个脏器受压移位。病变的内部结构紊乱,密度不均,呈混合性密影,亦可为实性和囊性成分组成。
(4)胃镜检查甚少应用,仅可观察胃腔内病变的大小及其表面的状况,如出血,糜烂和浅表溃疡等,在直视下进行活检是其优势,但对胃畸胎瘤的诊断帮助不大。
治疗方法:胃畸胎瘤多为良性,及早手术切除,预后良好。术后应长期随访,定期复查AFP,如无下降或下降后又升高,提示复发或转移,须进一步治疗。
三、*丸睾**畸胎瘤
症状:*丸睾**畸胎瘤的高发年龄可分为儿童和成人2个年龄段,儿童*丸睾**畸胎瘤高发年龄在1~2岁,成人*丸睾**畸胎瘤高发年龄在25~35岁。绝大多数患者表现为*丸睾**无痛性包块,包块质硬、结节状或不规则。

检查:B超对于判断*丸睾**肿瘤的性质、大小、部位、肿瘤所占*丸睾**组织的比例甚至选择治疗方式等具有重要的临床价值。*丸睾**畸胎瘤B超表现为包块边界清楚、囊实性、包块内有软骨、不成熟的骨组织或钙化等。成人*丸睾**畸胎瘤患者血清甲胎蛋白(AFP)水平与良、恶性相关。儿童*丸睾**畸胎瘤患者AFP水平处于与相应年龄段的正常范围,但6个月内正常婴儿血AFP水平差异较大,因此,对6个月内的婴儿患者AFP水平的高低无明确的临床提示意义。
治疗方法:外科手术是治疗*丸睾**畸胎瘤的首选治疗方法。对儿童*丸睾**畸胎瘤患者可根据AFP水平正常、B超提示有正常的*丸睾**实质存在、术中冰冻病理检查结果排除恶性肿瘤者,可以考虑行保留*丸睾**手术。
*丸睾**皮样囊肿和儿童*丸睾**畸胎瘤患者手术后无需其他治疗。对青春期后*丸睾**畸胎瘤伴有腹膜后淋巴结转移的患者行根治性*丸睾**切除术+腹膜后淋巴结清扫术。绝大多数畸胎瘤转移灶与原发灶病理类型一致,但也有在畸胎瘤的转移灶中发现胚胎癌成分。
四、卵巢畸胎瘤
症状:本病转移的发生率高。转移方式沿腹膜扩散,常见的转移部位有盆腔及腹腔腹膜、大网膜、肝表面、横膈、肠及肠系膜等。转移灶大多数为表面种植。淋巴结转移并不少见。

检查:(1)血清甲胎蛋白(AFP)患者血清中AFP比卵巢卵黄囊瘤低,可能是因为未成熟畸胎瘤的内胚层组织也可分泌少量AFP,另一可能是生殖细胞恶性肿瘤有不少是混合类型。未成熟畸胎瘤中可能混有少量卵黄囊瘤成分,可合成微量AFP。
(2)神经细胞特异性烯醇化酶(NSE)卵巢未成熟畸胎瘤含有成熟或未成熟的神经细胞,偶尔血清内可测出NSE,对本病的诊断有参考意义。
(3)其他B超、CT、MRI、腹腔镜、组织病理学检查。
治疗方法:(1)卵巢未成熟畸胎瘤的治疗原则:手术原则,采取保留生育功能的手术方式;手术后,及早采取有效的联合化疗,对于复发性肿瘤,应依据未成熟畸胎瘤恶性程度逆转的规律,结合不同的具体情况制定不同的具体方案。
(2)手术治疗①手术范围肿瘤绝大多数为单侧性,患者常很年轻,多主张作单侧附件切除,保留生育功能。如患者无生育要求,且肿瘤为Ⅱ期或Ⅲ期,可作双侧附件及子宫切除。大网膜是常见的转移部位,不论肿瘤期别的早晚,均作大网膜切除。腹膜后淋巴结是否常规切除,意见尚不统一。有腹腔广泛种植转移者,尽可能作肿瘤细胞减灭术,达到肿瘤基本切净。②复发性肿瘤的手术治疗未成熟畸胎瘤的复发瘤仍以手术切除为主,再辅以有效的联合化疗。③二次探查手术目前不推荐。
(3)化疗是卵巢未成熟畸胎瘤必不可少的治疗方法,在初次手术后,及早采用联合化疗,防止复发,可提高存活率。
五、骶尾部畸胎瘤
症状:骶尾部畸胎瘤的大小不一,患者多有排尿、排便困难。偶尔可见臀部肿大,骶尾部可有包块。因为肿瘤多偏向一侧向臀部生长,故臀部常显得不对称。偶尔肿瘤从会阴部膨隆突起。直肠受压或受牵扯者可有便秘或大便*禁失**。有巨大肿瘤者可影响其母的分娩。直肠指诊时可触及骶前肿物。恶性畸胎瘤生长迅速,有进展性的便秘和排尿困难。

检查:(1)实验室检查血液AFP(甲胎蛋白)检查阳性率高,有细菌感染时外周血象白细胞计数和中性粒细胞计数显著升高。
(2)其他辅助检查X线平片可见肿瘤内有骨、牙阴影。侧位像可见骶尾部有肿物影。钡灌肠可见直肠向前方弯曲。静脉肾盂造影有助于明确肿瘤的范围和部位有无转移,需做胸部、骨骼的X线摄影检查。
治疗方法:外科手术为首选疗法。必须把尾骨一并切除。尾骨上常常有肿瘤细胞,若切除不彻底即使畸胎瘤是良性也会复发。新生儿出生后应尽早尽快进行手术,以免发生恶性变。手术中要特别注意骶前动脉的处理以防出血引起危险。手术时要注意有无淋巴结的转移。骶尾部恶性畸胎瘤除手术切除外,必须给予放射治疗和化学疗法。
妊娠合并畸胎瘤如何处理?

如孕期发现卵巢畸胎瘤,在妊娠的头3个月,暂时观察,待12周后再行腹腔镜手术处理。畸胎瘤最容易出现扭转,发生急腹症,所以妊娠合并畸胎瘤原则上应腹腔镜手术治疗。孕中晚期发现畸胎瘤,可等待在分娩结束时一起处理。孕前发现的畸胎瘤最好先手术治疗,避免孕期肿瘤长大,而需手术。畸胎瘤手术后不需避孕。