氟斑牙是种地区病,因为某些地区水质中含有过多的氟,而造成牙齿的着色发黄。另外一些工业污染也会造成氟斑牙。如果不幸中弹,千万憋着急,我们可通过牙齿的美容修复进行解决。但预防氟斑牙最重要的是注意水质。改良水质可以采用改换水源和降低饮水含氟量的方法。改换水源是废弃原来含氟高的水源,寻找含氟量低的水源。降低饮水含氟量就是采用某些化学药品,或物理学方法,使水源中氛浓度降低。
冷光美白:适合于轻度和中度的氟斑牙治疗。首先,其在使用的都是无害的美白材料。全口牙齿一次照射,全程只需30分钟,就可迅速美白全口牙齿。低温冷光,不产生热效应,完全避免了操作过程中牙神经的不适,所以在美白过程中牙齿不会有酸胀感觉。临床实验表明,冷光牙齿美白技术,其效果可提高5-14个VITA色阶,平均提高8个VITA色阶。当然要视原来的牙齿颜色情况而定。

瓷贴面:适合于中度和重度的氟斑牙治疗。牙体组织磨除较烤瓷全冠少,故特别适宜于活髓牙的牙齿美容修复。色泽美观,逼真,透明性好,似天然牙,颜色稳定,可配色。耐磨耗,与牙龈组织有很好的生物相容性,不会有不良反应。
烤瓷牙:适合于中度和重度的氟斑牙治疗。其具有良好的边缘封闭。颜色可调制成真牙颜色一样,永久不变色。具有良好的生物相容性。特别是生物贵金属制作的瓷牙和全瓷牙,因其电的化学惰性而具有抗腐蚀性,组织无过敏,又可保护牙体硬组织和牙髓。

注意事项:
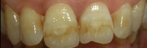
氟牙症临床表现的特点是在同一时期萌出的釉质上有白垩色到褐色的斑块,严重者还并发有釉质的实质缺损。临床上常分为白垩型(轻度)、着色型(中度)和缺损型(重度)三种类型。
多见于恒牙,发生在乳牙者甚少,程度亦较轻。这是因为乳牙的发生分别在胚胎期和乳婴期,而胎盘对氟有一定的屏障作用。因此,氟牙症一般均见于恒牙,但如氟摄入量过多,超过其筛除功能的限度时,也能不规则地表现在乳牙上。
严重的慢性氟中毒患者,可有骨骼的增殖性变化,骨膜、韧带等均可钙化,并从而产生腰、腿和全身关节症状。急性中毒症状为恶心、呕吐、腹泻等。