笔者:parpar
在产前发育过程中,大脑从管状结构开始。随着它的生长,内管保留下来,成为一系列相互连接的腔,称为脑室。在脑室内,脉络丛从妊娠第六周开始产生脑脊液。到新生儿期,每天大约生产300-500毫升脑脊液。

脑脊液流经大脑中的一系列开口或小孔,流出进入蛛网膜下腔,在那里被静脉系统重新吸收。如果脑脊液通路被发育或获得性异常所阻塞或阻断,脑脊液就会在脑室系统的压力下积聚。脑室开始扩张,导致脑罩变薄和拉伸。这种情况称为脑积水。
大脑可以在一定程度上适应脑室扩张,而不会造成明显的神经元损伤。然而,随着这一过程的继续,不可逆转的脑损伤不可避免地会发生。
脑积水是影响神经系统最常见的先天性异常之一,发病率为每1000名活产儿0.3至2.5例。传统上,脑积水是在出生后通过分流术进行检测和治疗的。然而,随着高质量产前超声检查的出现,现在在子宫内常规诊断脑室增大。这一知识促进了产科护理,但也给家庭带来了不确定性,并给咨询父母的带来了关于胎儿预后的挑战。
区分脑积水与脑室扩大或脑室扩大是很重要的,脑室扩大或脑室扩大也可能是由脑破坏和形态发育不良引起的。这种诊断上的区别可能很难做出,特别是仅用超声波,但却是至关重要的,因为破坏性的或发育不良的过程导致的胎儿脑室增大预后不良。在这些病例中,例如无脑畸形和无脑畸形,脑室不仅相对增大,而且因为上覆的实质异常而经常扭曲。胎儿脑室扩大经常与其他严重的发育异常相关,这种组合呈现出一致的令人沮丧的结果。
真正的胎儿脑积水有多种原因。孤立性梗阻性脑积水最常见的形式是所谓的“导水管狭窄”,即脑脊液通过西尔维乌斯导水管的阻塞。它占胎儿脑积水病例的20%。当侧脑室和第三脑室在阻塞物附近扩大,而第四脑室相对较小时,假定导水管堵塞。
胎儿脑积水通常也与先天性畸形综合征有关。ChiariII畸形约占脑室扩大胎儿的30%。这种畸形以脊髓脊膜膨出和后颅窝异常为特征,具有明显的超声表现(所谓的“柠檬”和“香蕉”征)。受影响的儿童会有不同程度的腿部瘫痪,也许还有脑干功能障碍。
丹迪-沃克畸形占脑积水儿童的2-10%。其定义为小脑蚓部发育不全、第四脑室囊状扩张和脑积水。在其最严重的形式中,该综合征通常与其他中枢神经系统、心室、泌尿生殖系统、眼部和面部异常相关,并且通常伴有智力残疾。
脑积水可能有遗传基础。典型的X连锁隐性脑积水(比克-亚当综合征)约占男性脑积水的7%。这种疾病的特点是导水管狭窄,严重的智力残疾,一半受影响的儿童出现拇指内收畸形。脑积水也可能存在于许多影响8、9、13、15、18或21号染色体的主要和次要染色体畸变中。
脑积水监测
传统上,胎儿脑积水是在产前通过超声测量扩大的脑室来检测的。最有用的测量是心房横向宽度,通常在4-8毫米之间,正常上限为10毫米。测量的效用基于心房易于识别的事实,并且测量值在妊娠15-35周之间几乎是恒定的。胎儿脑室扩大的发现需要一个迅速、彻底的评估,从一致努力排除额外的异常开始。对于在堕胎法定时限前被诊断为脑积水的患者,迫切需要完成检查,以便父母做出知情的决策。
在评估脑积水时,对孕妇妊娠史进行回顾,以了解以前的结局、早期药物暴露和意外疾病。

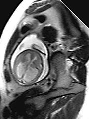
图示:20周胎儿超快磁共振成像显示明显的侧脑室扩张。CFDT
回顾了脑积水和神经管畸形的家族史。进行完整的超声波检查,以寻找其他异常情况。但是超声评估本身可能忽略重要的异常,这将影响结果。超快速胎儿磁共振成像是产前神经成像更精确的解剖学形式。射频脉冲或磁场对母亲或胎儿没有明显的危险。因此,由有经验的儿科神经放射科医师进行核磁共振扫描,排除任何额外的中枢神经系统异常。羊膜穿刺术用于病毒培养、染色体分析和甲胎蛋白水平。
脑积水治疗
脑积水的治疗取决于胎儿脑积水的类型。彻底了解胎儿脑积水的自然史应该成为合理治疗和家长咨询的基础。不幸的是,目前对自然史的了解不足以明确提供准确的预后或提供胎儿治疗。很明显,胎儿脑室扩大伴有相关异常的结局不佳。如果脑室扩大伴有感染、染色体异常、严重中枢神经系统和颅外异常,预后不良可能导致家庭终止妊娠。
然而,孤立性胎儿脑积水的结果是可变的。它与病因学或病因有关,在所有病例中,与新生儿相比,结果似乎不太理想:
正常发育结果的百分比
胎儿脑积水
合并:48%
ChiariII:66%
AqueductalStenosis:40%
DandyWalker:29%
NeonatalHydrocephalus
Combined:50-80%
ChiariII:70%
AqueductalStenosis:50-65%
DandyWalker:30-50%
这些结果的差异很可能与子宫内脑积水的未治疗期有关,这是早期干预的理论基础。产前因素,如进展、皮质包膜变薄至小于1.5厘米的程度以及子宫内持续时间超过4周,与预后不良相关。另一方面,轻度孤立性脑室扩大小于12毫米的患者预后良好。
因此,脑积水的治疗取决于胎儿脑积水的类型、进展速度、胎龄以及最终家庭的意愿。在法定流产限制前发现的无相关畸形的孤立性脑积水,可能是不能接受有残疾孩子的家庭终止妊娠的充分理由。
否则,胎儿会接受一系列超声波检查。如果脑室扩大稳定,胎儿会足月分娩。这并不否认稳定型脑积水持续、不可逆损害的可能性,但承认目前没有数据要求进行早产干预。当头部大小妨碍了阴道分娩时,产科医生可自行决定进行剖腹产。
一小部分胎儿将经历快速进行性脑室增大。虽然这不一定预示着毁灭性的结果,但它确实是一个重要的不利预测因素,应考虑早期分娩和早期分流。
与早产相关的发病率和死亡率数据反对在32周前分娩和分流。除此之外,早期分娩并发症的风险仍然很小,包括脑瘫、脑室内出血、坏死性小肠结肠炎和呼吸窘迫综合征。这些风险随着妊娠进展到足月而减少。
早产也增加了分流感染的风险。总体分流感染率为3%至10%,但早产儿可能高达20%。分流感染对新生儿或早产儿可能是毁灭性的,尤其是当它涉及革兰氏阴性细菌时。分流感染的风险是非常真实的,必须与早期分娩的理论益处进行权衡。考虑到这一点,早期分娩和分流可在32周后进行,用于肺成熟度记录的快速进展性脑积水胎儿。首选剖腹产,然后立即插入分流管,以消除产道和重症监护室的菌群暴露和定植。
INC国际神经外科医生集团提醒:在28周前脑积水导致进行性脑室增大和皮质变薄的胎儿在32周前可能会有不可逆的损伤。胎儿分流可能被认为是脑积水治疗的一部分,需要选择具有丰富的胎儿手术经验的中心进行。
本文转载自其他网站,不代表健康界观点和立场。如有内容和图片的著作权异议,请及时联系我们(邮箱:[email protected])