四肢疼痛不一定不要命,注意啦!
今天为大家介绍的这则病例,患者存在ST段抬高心梗(STEMI)的延迟表现,合并心室血栓和外周栓塞导致肢体缺血。
患者最初出现急性肢体缺血症状,然而在术前评估中被诊断为STEMI,需要紧急血运重建,然后行股动脉血栓切除术。
肢体缺血的原因被认为是迟发性STEMI合并左心室血栓,从而导致下肢栓塞。与STEMI相关的延迟表现和并发症,可能在心室血栓形成和随后的远端栓塞中表现为急性肢体缺血。
左心室(LV)血栓并不是急性心梗(MI)的罕见并发症,通常与全身血栓栓塞有关,主要的危险因素包括广泛前壁心梗和延迟再灌注的老年患者[1]。
ST段抬高心梗(STEMI)患者的发病率可能高达15%,广泛前壁心梗患者的发病率高达25%,我们的患者最初出现急性肢体缺血症状。
然而,在进一步的术前评估中发现,患者存在前壁STEMI合并左心室血栓的晚期表现,栓塞后导致肢体缺血。这是通过冠状动脉血运重建和肢体血运重建来处理的,因此保全了肢体,没有任何围手术期的并发症。
案例如下:
55岁,男性,以“左下肢疼痛伴麻木5小时”为主诉入院。5个小时前突然左下肢疼痛、疼痛剧烈无法忍受,自觉四肢麻木、冰冷。
入院查体:体温36.7℃、心率68次/分、血压128/77 mmHg、呼吸20次/分。急性面容、痛苦表情、强制体位(因疼痛),左侧足背动脉脉搏消失,四肢苍白、冰冷。
心电图(ECG):V4-V6、II、III和AVF导联ST段抬高,V1-V3、I和AVL导联ST段相对压低(图1)。

图1
追问病史,患者2天前左上臂间断沉重及刺痛,但因为最近因疫情,自觉看病不方便未在意,未就诊医院。既往有6年的吸烟史(戒烟35年),既往人类免疫缺陷病毒(HIV)、抑郁症病史基本控制。
鉴别诊断包括由髂动脉血栓、感染性心内膜炎或心室血栓栓塞引起的急性肢体缺血,以及随后的严重下肢缺血。血常规和大生化指标均未见明显异常。
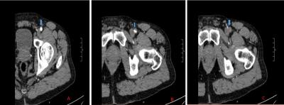
肌钙蛋白I升高至22.4 ng/mL(正常值<0.07 ng/mL)。肌酸激酶(CK)在328 U/L(参考范围55~170 U/L)升高。通过鼻咽拭子进行的冠状病毒检测为阴性。左下肢的计算机断层扫描血管造影(CTA)显示左股动脉急性闭塞,下肢动脉血管细小且显示不佳(图2)。

图2
给患者服用阿司匹林300 mg、氯吡格雷300 mg,并紧急送往导管室。左心导管术显示左前降支(LAD)近全闭塞,并伴有收缩中期出现心肌桥。使用2.0半顺应性球囊成功地扩张及介入治疗前降支,从而恢复了血流。
术后超声心动图显示左心室射血分数(LVEF)30%,心尖部、外侧壁运动严重减退、左心室回声密度(2.4 cm×1 cm)与血栓相似(图3)。

图3
左心导管术后即刻被带到血管手术室,在那里行左侧股动脉血栓的切开取栓术,并通过可触及的远端脉搏显示股动脉及其下游血管的血流恢复。左心室血栓用肝素和华法林重叠,阿司匹林和氯吡格雷双抗血小板治疗继续进行。
然而,在三联疗法(华法林、阿司匹林和氯吡格雷)的第3天,患者出现左侧腹股沟血肿,血红蛋白下降。这需要密切监测血肿扩大和输血情况。
停用华法林和阿司匹林,患者谨慎地开始服用利伐沙班和氯吡格雷(双重疗法)。冠状动脉介入治疗后做的心电图显示持续的V4-V6导联T波倒置(图4)。

图4
入院时肌钙蛋白为22.4 ng/mL,之后开始下降趋势,第15天下降到0.16 ng/mL。
患者接受利伐沙班和氯吡格雷治疗出院,并接受指南指导的治疗,并定期复查超声心动图,以确定是否需要继续抗凝以及放置植入式心律转复-除颤器。
讨论
标准的经胸超声心动图(TTE)通常是检测左室血栓的首选筛查方法,对于心尖血栓的高危人群应该在入院后24小时内进行检查[2]。我们的患者有轻微的手臂沉重症状,但因为患者没有注意到,也就没有及时就医。
患者的STEMI引起关注的时间较晚,并伴有心室血栓形成和栓塞导致急性肢体缺血。一种可能性是,患者剧烈的腿部疼痛使他忘记了微妙的胸闷或胸痛,否则他在没有腿部疼痛的情况下就会注意到[3]。
左心室血栓也与系统性血栓栓塞事件(如卒中)有关,从而导致显着的发病率和死亡率。在极少数情况下,也观察到急性肢体缺血需要紧急手术治疗,正如我们的患者所见[4]。
2013年美国心室病学会/美国心室协会(ACC/AHA)STEMI指南建议,对于STEMI和无症状左心室血栓的患者,在双重抗血小板治疗中加入口服抗凝药物(OAC)三个月是合理的,目标[5]是将较低的国际标准化比率(INR)目标定为2.0-2.5。AHA/美国卒中协会2014年卒中预防指南[6]建议使用类似的持续时间,INR目标较高为2.5。
欧洲心室病学会2017年发布的STEMI指南建议:一旦诊断出左心室血栓,应在重复超声心动图的指导下,建议OAC服用长达六个月,同时考虑出血风险和进行抗血小板治疗的必要性[7]。
这些患者的最佳OAC持续时间尚不清楚,应根据具体情况决定是否继续OAC。据我们所知,目前还没有随机试验比较左心室血栓形成合并血栓栓塞症和STEMI患者的二联疗法和三联疗法[8]。
尽管一项观察性研究的数据显示,与华法林相比,使用OAC会增加全身血栓栓塞的风险,但在这一领域缺乏前瞻性随机研究[9]。
在我们的病例中,因为血液动力学上显著的腹股沟血肿需要输血,治疗原理被更改为有限的双重治疗(利伐沙班和氯吡格雷),并进行超声心动图随访,以评估继续抗凝的必要性。
结论
临床无症状或轻微症状的STEMI患者可出现晚期并发症,包括左室血栓及其相关栓塞并发症(卒中/短暂性脑缺血发作、外周动脉疾病或肠系膜缺血)。
医生在术前检查和评估时应该保持警惕,以评估既往健康、没有外周动脉疾病病史和没有血栓栓塞倾向的患者的急性肢体缺血的原因。ST段抬高心梗的心电图证据应引起对左室血栓的怀疑,这是大面积前壁心梗的并发症之一。
参考文献:
[1]McCarthy CP, Vaduganathan M, McCarthy KJ, Januzzi JL Jr, Bhatt DL, McEvoy JW: Left ventricular thrombus after acute myocardial infarction: screening, prevention, and treatment. JAMA Cardiol. 2018, 3:642-649.
[2]Agarwal KK, Douedi S, Alshami A, DeJene B, Kayser RG: Peripheral embolization of left ventricular thrombus leading to acute bilateral critical limb ischemia: a rare phenomenon. Cardiol Res. 2020, 11:134-137.
[3]Miyake K, Kikuchi S, Kitani Y, et al.: Successful simultaneous revascularization for acute limb ischemia and concomitant acute myocardial infarction. Ann Vasc Dis. 2018, 11:361-364.
[4]Driesman A, Hyder O, Lang C, Stockwell P, Poppas A, Abbott JD: Incidence and predictors of left ventricular thrombus after primary percutaneous coronary intervention for anterior ST- segment elevation myocardial infarction. Clin Cardiol. 2015, 38:590-597.
[5]O'Gara PT, Kushner FG, Ascheim DD, et al.: 2013 ACCF/AHA guideline for the management of ST-elevation myocardial infarction: a report of the American College of Cardiology Foundation/American Heart Association Task Force on Practice Guidelines. J Am Coll Cardiol. 2013, 61:78-140.
[6] Kernan WN, Ovbiagele B, Black HR, et al.: Guidelines for the prevention of stroke in patients with stroke and transient ischemic attack: a guideline for healthcare professionals from the American Heart Association/American Stroke Association. Stroke. 2014, 45:2160-2236.
[7]Ibanez B, James S, Agewall S, et al.: 2017 ESC Guidelines for the management of acute myocardial infarction in patients presenting with ST-segment elevation: the Task Force for the management of acute myocardial infarction in patients presenting with ST-segment elevation of the European Society of Cardiology (ESC). Eur Heart J. 2018, 39:119-177.
[8]Shokr M, Ahmed A, Abubakar H, Sayedahmad Z, Rashed A, Afonso L, Cardozo S: Use of direct oral anticoagulants in the treatment of left ventricular thrombi: a tertiary center experience and review of the literature. Clin Case Rep. 2019, 7:135-142.
[9]Robinson AA, Trankle CR, Eubanks G, et al.: Off-label use of direct oral anticoagulants compared with warfarin for left ventricular thrombi. JAMA Cardiol. 2020, 5:685-692.
本文首发:医学界心血管频道
本文笔者:小可爱
责任编辑:董小雯
版权申明
本文原创 欢迎转发朋友圈
- End -
