病历描述:急性酒精中毒是我们在急诊室非常常见的情况,特别是重度酒精中毒的患者,常常出现休克昏迷,情况十分危急。那么这种危及生命、与死神赛跑的情况应该如何紧急处理?第一时间应该做些什么?出现休克和昏迷的病人应该如何救治?
年青女性,34岁
主诉:意识不清20小时
现病史:于家中发现时身边放有两个空酒瓶(500ml),口腔中有浓烈酒味。
外院治疗经过:“酒精中毒”给予相应输液治疗(具体不详),血压波动于70/50mmHg左右。
查体:脉搏 130次/分,血压64/28mmHg(休克已经存在),glasgow评分3分,口腔有酒味,双肺呼吸音粗,双肺可闻及广泛湿啰音(心衰?吸入性肺炎?),双上肢落鞭征阳性,双下肢不能立于床面。
辅助检查:
血气分析:PH7.01,PCO2 61mmHg,PO2 67mmHg(通气功能障碍)
血氧饱和度监测:80%-85%
血常规: 白细胞计数 26.97×10^9/L (严重感染)
初步诊断:急性重度酒精中毒
入院抢救路线 :(时间就是生命!!)
1. 10:55 入院 查体、询问病史
2.11:00 气管插管, 解除 通气障碍
3.11:15 颈静脉置管,监测CVP,快速、大量补液
4.11:30 股静脉置管,血管活*药性**物使用,血压升高,HP开始
5.11:40 完善实验室检查,初步制定治疗方案,观察患者生命体征变化
入院存在的问题
1.氧合障碍
2.休克
3.昏迷
4.酸碱平衡失调
(1)呼吸及酸中毒的救治
1.气管插管及呼吸机辅助呼吸
充分吸痰:发现患者气道内存在食物(患者存在误吸)
呼吸机辅助呼吸:SIMV模式:频率16次/分,氧浓度:60%,PEEP:5mmHg,PSV:8cmH2O,吸呼比:1:2,通气量:450ml/min,留取气道分泌物进行培养
2.治疗结果
氧饱和度:升高至96%
血气分析:(呼吸机使用半小时后,期间使用碳酸氢钠150ml静滴)PH:7.21,PCO2 :35mmHg,PO2:76mmHg 。
(2)处理休克
1.颈静脉置管:CVP:3-4 mmHg
2.补液:中心静脉压及平均动脉压无明显升高
3.使用血管活*药性**物:血压逐渐升高至104/68mmHg
4.经验性使用抗生素:头孢三代+抗厌氧菌药物
(3)处理昏迷
1.大量饮酒史,口腔残存酒味,纠正氧合无改善
2.股静脉置管,血液灌流治疗,意识状态无改善
3.是否服用其他药物、毒物?清除代谢小分子物质,持续肾替代(CRRT)。
4.第2天:患者意识恢复
中期治疗目标的确定
1.治疗吸入性肺炎
2.观察急性肾功能衰竭
3.观察消化系统疾病
4.观察其他情况及病情变化
(1)吸入性肺炎的治疗:
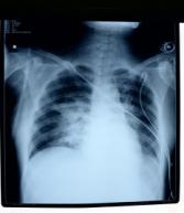
入院时的胸部X线片:见图1
图1
第3天的胸部X线片:见图2

图2
入院6天后入院时留取的气道分泌物细菌
学培养结果:表皮葡萄球菌
敏感抗生素:莫西沙星,利奈唑胺,万古霉素,利福平
入院第7天的胸部CT:见图3

图3
入院15天后的胸部CT:见图4

图4
曾采取的治疗措施:
第7天开始使用莫西沙星,第10天支气管镜肺泡灌洗,监测患者血常规、降钙素原并留痰培养。
(2)急性肾功能衰竭的治疗:
急诊3次行CRRT治疗,患者一般情况稳定后,联系血液透析室予以定期血液透析。
后期治疗方案
第8天,患者自诉逐渐出现视物模糊
原因:酒精中毒性视神经视网膜病变,至眼科继续治疗
诊疗思路
1.入院:紧急抢救性治疗
2.中期:针对性治疗,维持生命体征平稳
3.后期:并发症治疗,解除危及生命的因素
4.最终目的:获取最大效益的康复
更多病历可到医生汇(医学V直播)观看。