
骨关节炎(OA)是发生在滑液关节的一种发展缓慢,以软骨破坏为特征的骨关节疾病,因机械性、代谢、炎症、免疫等因素作用造成,伴有相邻软骨下骨板骨质增生或骨唇形成,可伴有不同程度的滑膜炎症反应,好发于人体负重部位,如膝、髋关节、腰椎等,尤其是膝关节。
临床表现
1、症状
(1)关节疼痛
为常见首发症状,以钝痛为主。隐匿发作,缓慢进展,初为间歇性疼痛,随病情加重疼痛呈持续性;颈、腰及髋的骨关节炎疼痛可呈放射性;关节疼痛程度与X线片所显示的病变程度不成比例;活动后可加重,休息后可缓解,静止后再活动,局部可出现短暂僵硬感,不超过30分钟。

(2)活动受限
呈缓慢进展,早期仅在晨起或久坐后觉活动不灵活(晨僵),随病情进展,活动范围缩小,以至固定于某一姿势。
2、体征
(1)关节肿大:浮髌试验阳性;(2)触痛(压痛);(3)骨摩擦音(感);(4)畸形和功能障碍。
诊断
骨关节炎无特异性的实验室检查指标,根据患者的临床表现、体征和影像学等辅助检查,诊断骨关节炎。目前国内多采用美国风湿病学会的诊断标准,不同受累关节采用不同诊断标准。

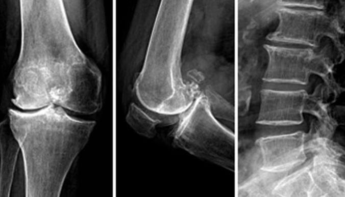
1、影像学检查
根据受累关节病情轻重程度,X线片出现的改变可进行一下分级(Kellgren分级):
0级:正常;
1级:可疑有关节间隙狭窄,似有骨赘;
2级:有骨赘,关节间隙可疑狭窄或无;
3级:有中等骨赘形成、关节间隙狭窄、关节面硬化以及关节似有变形;
4级:有大量骨赘形成、明显关节间隙狭窄、关节面严重硬化以及关节变形。
2、关节软骨破坏分度
Ⅰ °(软化期)垂直纤维破裂。关节软骨变暗,失去其饱满状态,具有海绵一样的特性;
Ⅱ °(裂隙形成期)关节表面粗糙不规则纤维化,有天鹅绒状表现,有裂隙形成;
Ⅲ °(碎裂期)有碎裂块从软骨上剥离,软骨面凹凸不平,但软骨下骨并未外露;
Ⅳ °(火山口形成、硬化期)片状关节软骨从软骨下骨上剥离,软骨下骨外露,并有硬化表现,损伤部位像火山口一样。
3、膝骨关节炎临床标准
(1)近1个月大多数时间有膝关节疼痛;(2)有骨摩擦音;(3)晨僵≤30min;(4)有骨性膨大;(5)X线片示骨赘形成;(6)关节液检查符合骨关节炎;
符合以下任意一条即可诊断为膝骨关节炎:
(1)满足1+2+3,且年龄≥40岁;
(2)满足1+5;
(3)满足1+2+4,或满足1+4且年龄≥40岁;
(4)满足1+2+3和6;

康复评定
康复评定应贯穿于康复治疗始终,为制定康复治疗计划、选择治疗方法,评定治疗效果提供客观依据。包括疼痛评定、活动评定、肌力评定、日常生活活动能力(ADL)评定、等速肌力测试等。

1、疼痛评定
疼痛是骨关节炎的常见首发症状。McGill疼痛问卷(MPQ) 重点观察疼痛及其性质、特点、强度以及疼痛治疗后病人的状态,可为将来疗效对比提供依据。
2、活动评定
骨性关节炎可致关节活动障碍,用量角器测量关节活动范围以作为康复治疗前后的对比。
3、肌力评定
骨关节炎患者肌力的评定以徒手肌力检查为主。
4、日常生活活动能力(ADL)评定
Barthel记分法将ADL能力分为3级:大于60分为良;60-41分为中,有功能障碍,稍有依赖;小于40分者为差,依赖较明显或完全依赖。
5、等速肌力测试
肌力测试的重要内容,需有专门仪器记录,经计算机处理,得到力矩曲线及多项反映肌肉功能的参数,作为评定肌肉运动功能的指标。
康复治疗
骨关节炎康复治疗的目的在于缓解疼痛、保护关节,维持或者增加关节活动度、肌力、耐力与平衡功能,改善功能、延缓和阻止病情发展。
治疗原则:非药物与药物治疗相结合,必要时手术治疗。应注重个体化,结合患者自身情况,如年龄、自身危险因素、病变部位及程度等选择合适的治疗方案。
1
非药物治疗
非药物治疗是药物治疗及手术治疗等的基础。对于初次就诊且症状不重的骨性关节炎患者,非药物治疗是首选的治疗方式。
1、调整和改变生活方式
(1)减少每日运动总量:剧烈运动会加速和加重患者关节的退变。如髋、膝OA患者要避免跑步,减少步行距离和时间,是受累关节得以较充分休息,避免过重或过劳。
(2)避免或减少屈膝运动:如上下楼梯,尤其屈膝深蹲会增加膝关节内的压力,增加膝关节负担,刺激病变组织引起剧烈疼痛。
(3)合理饮食:对于肥胖患者目的在于减肥、减重。
(4)戒烟:肥胖、高血压、吸烟、心理状态不佳会促进骨关节炎症状,应针对这些促发症状的危险因素予以处理。
2、运动疗法
运动疗法可维持或改善关节活动范围,增加肌力,肌肉力量增强则可以保护关节、减轻关节的疼痛,从而间接地减轻关节负荷、改善患者活动能力。
(1)等长练习:增强肌力,防止废用性肌萎缩。如膝骨关节炎患者行股四头肌、腘绳肌等长收缩,每次持续5秒,重复30-50次。

(2)耐力运动:可改善患者的有氧运动能力,有游泳、散步、脚踏车等。
(3)保持关节最大活动度的运动:应由患者主动进行,循序渐进,每日锻炼3次以上。
(4)有利于OA患者的锻炼:游泳、散步、脚踏车、仰卧直腿抬高或抗阻力训练、不负重位关节屈伸活动;不利于OA患者的运动:增加关节扭力或关节面负荷过大的训练,如爬楼梯、蹲下起立、爬山等。
3、关节松动术
(1)缓解疼痛以Ⅰ、Ⅱ手法为主;
(2)改善关节活动度以Ⅲ、Ⅳ为主。
4、物理因子治疗
物理治疗在骨关节炎的治疗中占重要地位,尤其对药物不能缓解症状或不能耐受者。急性期以止痛、消肿和改善功能为主;慢性期以增强局部血循环,改善关节功能为主。
(1)止痛:电刺激(TENS等)、中频电疗、针灸疗法等;
(2)消炎止痛消肿:热疗、超短波等。

5、本体感觉神经肌肉促进技术(PNF技术)
利用PNF技术,恢复或强化姿势反应或正常运动模式,应用特殊要求促进靶肌群的直接效应,或协同肌、拮抗肌的间接效应,用以治疗关节炎导致的功能障碍以及肌群的无力。
常用方法:D1、D2下肢运动模式。
6、矫形器或者助行器的使用(康复工程)
(1)手杖:以手杖辅助可减轻受患关节的负荷,方便行动。
(2)护膝:适用于膝骨关节炎导致膝关节不稳定的患者,可以改善膝关节稳定性,减轻疼痛和改善步行能力。
(3)轮椅:适用于髋、膝关节骨关节炎负重是疼痛剧烈,不能行走的患者。
(4)踝足矫形器(AFO):适用于踝关节骨关节炎,步行以及关节活动时产生疼痛的患者。
7、传统康复治疗
针灸、推拿手法治疗,以缓解疼痛、促进功能恢复。
2
药物治疗
如非药物治疗无效,可根据关节疼痛情况选择药物治疗。对于手和膝关节骨关节炎,在采用口服药前,建议首选局部药物治疗。局部外用药可以有效缓解关节轻中度疼痛,且不良反应轻微,如非甾体抗炎药的乳胶剂、膏剂、贴剂和非NSAIDs擦剂等。
1、止痛药
(1)对乙酰氨基酚:
骨关节炎患者首选止痛药。老年人对非甾体类抗炎药易发生副作用,故可先选用一般镇痛剂,如对乙酰氨基酚。对不适于应用其它抗炎镇痛药的患者,如胃肠道疾病、血友病、出血性疾病、抗凝治疗的患者尤其适用。每日最大剂量不超过4000mg。
(2)非甾体类抗炎药:
临床用量最大的药物,如消炎痛、扶他林、诺松等,可迅速改善功能,缓解疼痛,减轻炎症、肿胀等,但不能根治原发病,或防止疾病发生、发展。老年人易对非甾体类抗炎药产生不良反应,尤其应注意胃肠道和肾脏的副作用。
(3)COX-2*制剂抑**:
选择性、非特异性COX-2*制剂抑**,如莫比可、西乐葆、万络等止痛效果较好,副作用相对较少,但有研究显示对心血管系统有一定影响,需要注意。
2、促进软骨恢复的药物
如维固力(硫酸氨葡萄糖)、葡立(氨基葡萄糖)等,可缓解和改善疼痛、肿胀等,改善活动功能。
3、透明质酸
透明质酸为关节液的主要成分,也见于关节软骨,如口服药物治疗效果不显著,可联合关节腔内注射透明质酸钠类黏弹性补充剂,对缓解症状及保护关节软骨有一定作用。注射前应抽吸关节液。
4、糖皮质激素
对NSAIDs药物治疗4-6周无效的严重骨性关节炎,或不能耐受NSAIDs药物治疗、持续疼痛、炎症明显,以及关节周围肌腱炎的患者,可予关节内或病变部位行糖皮质激素局部注射。
但是糖皮质激素注射本身可损害软骨,引起感染,若长期使用,可加剧关节软骨损害,加重症状。因此,不主张随意选用关节腔内注射糖皮质激素,更反对多次反复使用。最短注射间隔时间为4周,1年内不超过3-4次。
3
手术治疗
1、手术治疗适应症
(1)严重疼痛经各种治疗无效者;
(2)功能障碍而影响日常生活者。
2、手术治疗方式
(1)关节镜下微创手术
既可用于检查又可直接进行治疗。优点在于创伤小、恢复快,适应于病程相对较短,保守治疗没有效果,关节没有变形的病人。
(2)截骨矫正术
如果关节有了变形、保守治疗效果不好但是病人年龄相对比较轻(50岁左右),可以考虑做截骨矫正术,术后可以减少磨损。
(3)人工关节置换术
人工关节置换术可应用于严重疼痛经各种治疗无效者,或发生功能障碍而影响日常生活者。因为人工关节有一定寿命限制,故一般用于年龄在60岁以上的患者。

△缓解肌腱炎的家用疗法与物理疗法
△吞咽困难的全面康复治疗
△肩周炎的自我康复训练法,简单又实用!
△一文读懂肌张力的方方面面
△骨关节炎康复治疗
△腰椎压缩性骨折后的康复训练方案
△肩周炎病因剖析及早、中、后期各阶段康复治疗方案
△周围神经损伤的康复治疗方案