
腰背痛这一古老的疾病,目前已成为一种有显著意义的国际性健康问题。Hult估计有多达80%的人,在他们一生当中的某一时期受到腰背痛的困扰。据美国国立健康统计中心(National Center for Health Statistics)报告,脊柱和腰背部的伤痛被列为45岁以下人群活动受限的最常见原因。腰椎疾病是常见病、多发病,对人们的工作和生活影响极大,其治疗亦十分棘手。目前情况是,坐骨神经痛已经成为脊柱病人群体中家喻户晓的名称,腰椎间盘切除术也成为全世界做的最多的手术之一。对于可以保守的椎间盘突出病人,锻炼调整,无损为高。对于需要手术的患者,微创处理,微损为妙。在本期的骨医小灶中,黄鹏医师将详细介绍目前最热门腰椎微创技术-椎间孔镜。
腰椎间盘突出症(lumbar disc herniation,LDH)是腰腿痛最常见的原因。对于需要手术的患者,传统开放式手术损伤大、对脊柱稳定性有影响。随着微创理念和技术的发展,微创方法不断涌现。微创的精髓是应该与传统手术疗效相似,却能最大限度地保持脊柱结构,在减压和减少破坏之间达到一个平衡。我在此介绍目前最热门腰椎微创-椎间孔镜技术。

经皮内窥镜下髓核摘除技术(椎间孔镜技术)
目前是最为理想的微创治疗方法,既可以根本解决椎间盘突出问题,同时不影响脊柱功能结构、创伤小、恢复快。经皮内窥镜下髓核摘除技术(椎间孔镜技术)正是符合了这种要求。

YESS技术创始人 Anthony Yeung
1997年Yeung等研究出第三代脊柱内窥镜YESS系统( Yeung Endoscopy Spine System ) ,标志着这一微创技术逐步走向成熟。

TESSYS技术创始人 Thomas Hoogland
随着脊柱内窥镜技术和手术器械的不断改进和发展,以及先进手术设备如激光、射频、手术导航和手术机器人系统的临床应用,使经皮椎间孔镜技术发生了革命性改变。
从早期的后外侧经皮腰椎间盘盲切,发展到当今内窥镜直视下的直接切除、从过去经Kambin安全三角区进入椎间盘内行间接的椎间盘减压,发展到当今能经椎间孔入路行椎间盘游离组织块的直接摘除和粘连神经根的松解、从过去只能做单纯的包容性腰椎间盘突出,发展到能完成各种类型的腰椎间盘突出、脱出和游离组织块的直接手术摘除,以及椎间孔狭窄的经皮椎间孔扩大成形术,从过去只能做椎间盘的切除,发展到能完成经皮的腰椎间融合,该手术己成为当今最具发展潜力和最微创的脊柱内窥镜技术。

周跃教授

张西峰教授
近年来,随着经皮椎间孔镜( PELD )技术在国内迅猛开展,这是一项开展最早的微创脊柱外科内镜技术,也是一项正在焕发出青春的新技术。 该技术是真正意义上的脊柱内窥镜系统,内窥镜直视下操作,可清晰、完整摘除突出组织或脱垂髓核,清除骨质增生、治疗椎管狭窄、同时该套设备配备了射频刀头,能够在术野内利用射频技术修补破损的纤维环;不切开深部组织,不损伤脊柱周围肌肉、韧带、骨性结构,最大程度保护脊柱稳定性;创伤小、恢复快、安全性高。
技术概述

椎间孔镜与脊柱内窥镜类似,是一个配备有灯光的管子,它从病人身体侧方或者侧后方(可以平可以斜的方式)进入椎间孔,在安全工作三角区实施手术。在椎间盘纤维环之外做手术,在内窥镜直视下可以清楚的看到突出的髓核、神经根、硬膜囊和增生的骨组织。然后使用各类抓钳摘除突出组织、镜下去除骨质、射频电极修复破损纤维环。手术创伤小:皮肤切口仅6mm,如同一个黄豆粒大小,出血不到20ml,术后仅缝1针。 是同类手术中对病人创伤最小、效果最好的椎间盘突出微创疗法。

治疗原理
椎间孔镜通过在椎间孔安全三角区、椎间盘纤维环之外,彻底清除突出或脱垂的髓核和增生的骨质来解除对神经根的压力,消除因为对神经压迫造成的疼痛,其手术方法是通过特殊设计的椎间孔镜和相应的配套脊柱微创手术器械、成像和图像处理系统等共同组成的一个脊柱微创手术系统。在彻底切除突出或脱垂髓核的同时,清除骨质增生、治疗椎管狭窄、可以使用射频技术修补破损的纤维环等。

入路位置

A:单纯椎间盘突出和部分脱垂型病例,首选后外侧安全三角区入路。
B:远外侧水平入路适用于中央巨大型突出。
C:后路或椎板间入路适用游离或钙化型患者。

微创治疗的疗效关键是选择适应症,确认问题椎间盘,选择最合适的微创方法。椎间孔镜下或内镜下显微椎间盘摘除术的选择标准与椎板切开、椎间盘摘除术的选择标准并没有本质的差别。选择行微创手术的椎间盘突出症患者必须表现出神经根受压的症状和体征,适应症和禁忌症如下:
适应症
持续或反复发作根性疼痛(腿部疼痛),至少是根性疼痛重于腰痛。
经严格保守治疗无效。包括运用甾体或非甾体消炎止痛药、理疗、作业或条件训练程序,建议至少保守治疗4-6周,但如果出现神经症状进行性加重,则需要立即手术;
直腿抬高试验阳性;
禁忌症
有基础疾患,如心室病、癫痫等,或其他潜在需要改为静脉麻醉或全身麻醉风险者;
患有传染较强的疾病,门诊消毒及隔离条件不够者;
有精神疾患、酗酒等不能配合者;
有智障及其他不能正常交流者;
小孩年龄小于14岁;
成人年龄大于80岁;
有脊柱不稳需要置入内植物者或其它需要内固定矫形者。
技术特点
椎间孔镜临床优势
经皮椎间孔镜(成功为许多腰椎间盘突出的患者实施了椎间盘髓核摘除手术。患者均为腰痛和单侧下肢放射疼痛,经过药物、卧床等治疗无效,严重影响工作和生活。经充分准备后,在局麻下经腰椎侧路途径,完成镜下椎间盘髓核摘除,即刻解除了患者的痛苦。术后症状缓解如常人,术后1分钟可以下地,手术当天出院。
据了解,该技术通过特殊的外侧椎间孔入路途径,在内窥镜监视下摘除椎间盘突出组织,比通常的后路手术创伤小。典型的椎板切除术为了接近目标点,必然对脊柱稳定重要作用的结构造成广泛破坏,这通常要求立即进行脊柱融合。
相反地,椎间孔镜技术通过专利的扩孔器和相应的医疗仪器,逐渐扩大椎间孔,完全摘除任何突出或脱出的碎片以及变性的炎性髓核。并可对病变部位进行持续灌洗消炎,运用射频电极修补纤维环,消融神经致敏组织,阻断环状神经分支,解除患者软组织的疼痛。
椎间孔镜与其他治疗比较
我理解,椎间孔镜最大的优势在于它的入路。是从自然的解剖通路(椎间孔)进入,从神经根和硬膜的下面最文章。比后路手术具有得天独厚的优势。这种技术从诞生之日起,就具有先天优势。
另外的优势在于直视技术。不但提高了安全性,与髓核机械切除减压、化学髓核溶解或激*气光**化等间接减压技术相比,椎间孔镜下椎间盘摘除术是针对性切除突出椎间盘碎片、减压神经根的直接技术。
而近年被广大认可的后路椎间盘镜技术(MED),虽然可应用于各类腰椎间盘突出症,但是因其手术入路及手术过程与小切口开放手术方法相同,都需经椎旁肌入路和实施椎板开窗,肌肉韧带和骨质结构切除,因此其微创性有限。椎间孔镜技术与其相比具备创伤更小,出血更少,麻醉更简便,术后恢复更快及经济负担更轻等明显的优势。
椎间孔镜技术优势总结:
(1)手术创伤小:与常规开放手术相比,脊柱微创手术切口更小,对椎旁肌肉的损伤也明显减小。
(2)疗效满意:对于合适的患者,疗效高于开放手术,优秀率超过85%。
(3)恢复快,做完后1分钟下地。
(4)手术出血非常少,可以说忽略不计。
(5)皮肤切口小(6毫米),更美观。
(6)术后1分钟即可下地,当天出院,住院仅几小时。
(7)疾病复发和再发时更容易补救,甚至可以补救开放手术的问题。
该技术代表一种全新的脊柱微创手术概念,是椎间盘突出症治疗方法的突破性发展。因为它的诸多优越性,目前国际脊柱外科领域已经公认椎间孔镜髓核切除术将占据这一领域的主导地位。
具体技术
YESS技术与TESSYS技术
目前,临床上最常采用的术式分别为:Yeung等介绍的经Kambin 安全三角区进入椎间盘内行间接椎间盘减压的YESS技术和Hoogland 等设计的经椎间孔进入椎管内行直接神经根松解和减压的 TESSYS( Transforaminal Endoscopic Spine System ) 技术。虽然这两种技术都是在局麻下经后外侧入路行腰椎间盘切除,但无论在手术理念、穿刺方向和手术工作套管的放置部位上都有所不同。

YESS 技术是在原有腰椎侧后路经皮椎间孔内窥镜的基础上,设计出来的一种硬杆状、组合式、多管道、广角的经皮椎间孔内窥镜系统,同时将手术工作套管末端设计为不同角度斜面,这些设计不但使术者在广角手术视野下经单通道即可完成直视下的椎间盘切除和神经根减压,而且也可在同一广角视野下看见硬膜外间隙、纤维环的内外侧壁和椎间盘内间隙。
在具体手术操作技巧上,采用经椎间 Kambin 安全三角区进入椎间盘,由椎间盘内逐步向外切除椎间盘组织,并在高速磨钻、双极射频和侧孔激光辅助下行椎间孔扩大成形的单通道或双通道技术。YESS 手术具有操作比较简单和容易掌握,但也存在适应证相对狭窄,难以摘除脱出和游离的椎间盘组织。

Hoogland 等针对 YESS 技术存在的不足,设计了一套不同直径的椎间孔铰刀,通过逐级切除下位椎的部分上关节突前下缘骨质结构,扩大椎间孔,将手术工作导管直接置入椎管,在内窥镜直视下,经硬脊膜前间隙直接下取出脱出或游离腰椎间盘组织。
采用该技术不但能处理各种类型的腰椎间盘突出或脱出,而且还能直接取出游离的椎间盘组织,并可同时行腰椎间孔扩大成形。因为 TESSYS 手术是经扩大后的椎间孔进入椎管,不但手术工作套管比较容易置入,而且不经过范围比较狭小的 Kambin 三角进入椎间盘内,有效避免和降低了穿刺与置管过程中对出行神经根和背根神经节的损伤。但该技术也存在操作难度较高、学习曲线较长、易损伤椎管内血管、走行神经根和硬膜囊等缺点。

刚开展 PELD 手术的初学者们总爱问:什么是 YESS 技术?什么是 TESSYS 技术?临床上两者之间如何正确选择?一旦掌握了 TESSYS 技术,是否意味着应该放弃 YESS 技术。我们认为,这两种技术虽然在操作方法上有所不同,但都有各自的最佳适应证。
YESS 技术最适合椎间盘源性腰痛的髓核减压和撕裂纤维环成形术,而 TESSYS 技术却最适合巨大的椎间盘脱出和游离的椎间盘组织的直接摘除,两种技术之间存在相辅相承的关系。因此,我们在临床上不但要掌握这两种技术的正确操作方法,而且还要掌握并正确选择这两种手术的最佳适应证。
简式技术(Easy Technique ET技术)是解放军总医院张西峰医师在实践中总结的技术,是学习YESS和TESSYS后在实际中形成的改良YESS技术,兼具两种方法特点的技术。他本人总结特点为:“简”和“变”。优点:快、准、宽。缺陷:变,年轻医生学习和掌握需要更长的时间。理念是:Margin或者Face to marginof posterior ligment。翻译过来就是“边缘”或者“面对后纵韧带边缘”,就是将工作面放在后纵韧带边缘的技术。
简式技术操作过程:
1、简单的体位排除腰骶部后凸角度的俯卧位。可以折叠手术床,或者使用可以透过X射线的体位垫都可以。不是必须昂贵的名牌的手术床或者体位架。2、简单的透视过程没有特殊情况下,只进行正位透视。最少的透视次数是两次,一般透视的次数控制在6次以内。从透视的次数上,可以看见医生掌握该技术的水平。Ahn医生报告他们手术的时间是49.8分钟,约 225次曝光。*013院医**的手术按照4-10次透视计算,仅仅2.4-6秒的曝光时间。3、简单的麻醉过程使用1%的利多卡因,仅仅麻醉痛觉神经,不影响运动神经。手术中患者痛觉消失,运动功能正常,可以配合医生完成手术的过程。4、简单的手术过程按照“面对后纵韧带”的入路原则,结合患者的术中神经监护,可以以最快的速度摘除单纯突出的、向上游离、向下游离的椎间盘和纤维环碎片。在特殊器械的配合下可以完成椎间盘突出钙化的病例、椎管狭窄的病例。5、简单的术后处理按照国家规定,PELD手术已经不属于围手术期使用抗生素的手术。围手术期不使用抗生素,仅使用止痛药或/和脱水药。
PELD手术风险与并发症
PELD 手术最常见风险是术后椎间隙的感染、神经根的损伤,硬膜囊的撕裂、椎管内的出血,瘢痕粘连。虽然,上述并发症可发生在任何脊柱手术中,但 PELD 手术并发症的发生率是目前所有微创脊柱外科手术中最低的。
虽然,临床上 PELD 外科手术的并发症发生率较低,但手术风险依然存在,一旦发生将是灾难性的,手术者必须了解和重视。
常见手术风险包括:
( 1 ) 纤维环前方穿通是潜在的手术风险,可能导致肠道、血管损伤;
( 2 ) PELD 手术的另一缺陷是手术操作要在“二维”可视化空间下,或“盲视”状态下进行,所以术者心中必须清楚器械的置入深度和方向,在用铰刀开窗的时候保护好重要解剖结构,脊神经根就可能贴附在椎间盘和纤维环上,可能被刮刀或其他切割系统连椎间盘一起切除;
( 3 ) 术者必须注意解剖和神经根变异,如神经根分叉,可能就包埋在纤维环脂肪内,附近还连接有分叉神经丛。据文献报道,这些分叉神经丛可能是自主神经,一旦损伤可造成下肢感觉和运动功能的损伤。感觉麻木是经皮椎间孔镜术后最常见的主诉,发生率在5%~15%,通常为一过性,原因还不清楚,可能与术后神经功能恢复相关,通常发生在术后数日或数周,也可能是背根神经节受损所致。这种情况无法完全避免,即使使用皮节体感诱发电位、持续性肌电图等最敏感神经监护手段也无法确定其原因。在椎间孔成形术中,即使出行神经根清楚辨认,并在良好保护的前提下,刺激出行神经根的背根神经节,甚至轻微的牵拉和刺激都可导致术后皮肤感觉麻木。

PELD 手术因特殊的手术入路有增加额外的医源性损伤的风险。为保证手术安全而采用局部麻醉,这是因为患者处于清醒状态,能把术中疼痛感受迅速反馈给医生,以帮助医生了和判断手术的安全性。
对大多数椎间盘突出和椎间盘源性疼痛,经验丰富的外科医生都会选择经皮椎间孔镜下侧后入路作为治疗方式。新式的神经监护仪器和设备能在刺激神经的时候提醒医生,甚至在器械没有和神经直接接触时也能敏感反馈。神经监护对于刚开始进行经皮椎间孔镜手术的医生有提醒的作用。
PELD手术 VS MED手术
1997年,Foley 首次报道经后路显微内窥镜腰椎间盘切除 MED 治疗腰椎间盘突出症以来,全球已有1000 余家医疗机构开展这一手术,并取得较为满意疗效。
MED 手术吸取了传统后路椎板间隙开窗技术与内窥镜下微创技术之优点,通过一系列扩张通道来完成手术入路的建立,并通过 1.6 cm 微创工作通道来完成过去只有通过开放手术才能完成的椎板开窗、小关节切除、神经根管减压及椎间盘切除等手术。
因为先进的摄、录像系统将操作视野放大了 64 倍,与直视下的手术相比,在术中能更加准确地辨认和保护好手术视野区的硬脊膜囊、神经根和椎管内血管丛, 同时清晰的手术视野又确保更加安全精准地完成各种手术的操作,有效避免传统手术视野小、操作粗暴和骨关节结构破坏较大的缺点,最大限度地保留脊柱后韧带复合结构的完整性,从而有效降低术后瘢痕粘连和腰椎不稳定的发生率。
自 1999 年该技术引进我国后,目前国内已有 600 余家医疗机构开展这一技术。因创伤小、出血少以及术后恢复快等优点,为微创脊柱外科技术和传统手术之间架起了一座桥梁,由此推动了中国脊柱微创外科事业的发展和进步。
近年来,随着 PELD 技术在国内的迅猛开展,有初学者总爱问是先选择 PELD 技术好?还是先开展 MED手术好?甚至有部分学者认为既然有了 PELD 技术,是否意味着 MED 技术已经过时或应被历史所淘汰。
笔者认为微创脊柱外科手术不是一个单一的技术,而是由各种微创脊柱外科技术聚合在一起的大家庭,每个成员都有其独特的功能和作用,每个技术都有最佳的手术适应证,一名优秀的微创脊柱外科医生,不但要了解和掌握更多的微创脊柱外科新技术,而且还要学会正确的选择和应用,这样才能达到事半功倍的效果。
例如在腰椎中央椎管和神经根管狭窄伴腰椎间盘突出症的微创外科手术治疗中,MED 手术可采用经单侧入路行双侧潜式减压,不但减压充分有效,而且骨关节结构破坏较小,完整保留了减压对侧的小关节突结构,从而有效避免了传统减压手术,术后需要固定融合等缺点。对此,目前的 PELD 技术或 PEID 技术还难以达到 MED手术的充分减压效果。因此,MED 技术不但不会被淘汰,而且还有进一步发展的空间。
在如何选择 PELD或 MED 技术问题上,每位医生应根据自身的技术水平和本单位的医疗设备条件决定。MED 技术是在传统经典的后路开窗手术基础上发展而来,学习曲线较短,手术操作容易掌握,手术适应证广,无放射性损伤。而PELD 手术学习曲线相比较长,手术操作难度较高,医生的 X 射线损伤较大,但手术的创伤小、椎管内干扰少、患者恢复快,是目前治疗腰椎间盘突出症最微创的外科手术,同时在复发性腰椎间盘突出症和下腰椎手术后失败综合征的微创手术翻修中,具有传统翻修手术无法比拟的独特手术效果。
术前准备
为了精确确定突出或脱垂的髓核的位置和性质,以及椎间孔骨质增生的情况,手术前要进行彻底的影像学检查,特别是CT和MRI是精确确定髓核大小、位置和性质的重要手段。
种类与普通手术相同,如有异常需要进一步检查,或者请相关科室会诊。术前检查包括:心电图、胸片、血常规、血沉、C反应蛋白、血液生化、血清六项、凝血。
手术效果
一般来讲,大部分患者术后效果都很好。例如,术后一分钟,病人就能下地行走,直腿抬高试验比原来更高。之后的效果总结有几种。
一是,术后不错,之后疗效一直不错。大多数病人(91-93%)属于此类。
二是,一小部分病人(5-6%),术后不错,但之后早期存在疼痛,不适,一般2-3月后慢慢就很好。不用担心。
三是,非常少比例的患者(2-4%),术后一直存在症状,甚至到3个月还是很疼痛,需要卧床,对于这种情况,可能需要后续的其他治疗方法进行处理。
技术参数
微创椎间孔镜技术参数
创伤大小: 6mm
手术时间: 40-90分钟
安全性: 与传统开放手术相同
手术有效力: 91%-93%
手术优秀率:90%左右
复发率:2年内, 4.7%左右
出血量: 10-20ml
疼痛度: 轻微疼痛,术后稍痛,
镇痛药使用:局部麻醉,约10ml利多卡因
下地时间:术后1分钟
卧床时间 :不需要严格卧床
术后护理:1天后基本可自理 较复杂,术后需伤口引流等,需6天后方可坐立
康复时间:每天可以下地活动,建议6-8周后工作,3个月之后锻炼。
经典病例一
高* 女,腰痛伴左臀部疼痛麻木,左足麻木半月。
查体:腰5骶1棘间及左棘旁压痛、叩痛明显,疼痛向左臀部放射,左臀部外侧及左足底皮肤感觉减退,左跟腱反射减弱,左侧直腿抬高试验阳性(40°),加强试验阳性。
腰椎MRI示:L5S1椎间盘突出,左侧神经根受压。

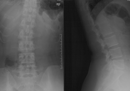
(图)术前X线片

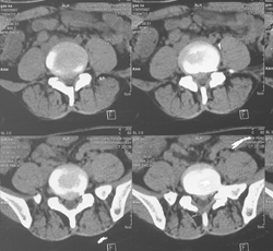
(图)术前CT

(图)术前MRI

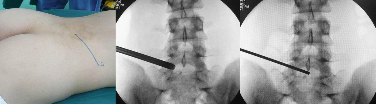
(图)体表定位

(图)穿刺针定位

(图)置入扩张管

(图)术中

(图)取出的游离髓核

(图)术前直腿抬高试验阳性

(图)术后1分钟直腿抬高试验,恢复正常高度
*载下**唯医app
手术视频免费*载下** 会议直播从不间断
细分骨科所有专业 让您光速获取资源
随时随地,唯医为医!